别名:Protein bicaudal D homolog 2, Bic-D 2, BICD2, KIAA0699应用:WB,IHC
反应种属:Human
规格:50μl/100μl
| Description |
|---|
| BICD2 is one of two human homologs of Drosophila bicaudal-D and a member of the Bicoid family. It has been implicated in dynein-mediated, minus end-directed motility along microtubules. It has also been reported to be a phosphorylation target of NIMA related kinase 8. |
| Specification | |
|---|---|
| Aliases | Protein bicaudal D homolog 2, Bic-D 2, BICD2, KIAA0699 |
| Entrez GeneID | 23299 |
| Swissprot | Q8TD16 |
| WB Predicted band size | 93.5kDa |
| Host/Isotype | Rabbit IgG |
| Storage | Store at 4°C short term. Aliquot and store at -20°C long term. Avoid freeze/thaw cycles. |
| Species Reactivity | Human |
| Immunogen | This BICD2 antibody is generated from rabbits immunized with a KLH conjugated synthetic peptide between 787-818 amino acids from the C-terminal region of human BICD2. |
| Formulation | Purified polyclonal antibody supplied in PBS with 0.05% sodium azide. This antibody is prepared by Saturated Ammonium Sulfate (SAS) precipitation followed by dialysis against PBS. |
| Application | |
|---|---|
| WB | 1/1000 |
| IHC | 1/100-1/500 |
![]() |
Western blot analysis of anti-BICD2 Antibody (C-term) (Cat.#P30315) in K562 cell line lysates (35ug/lane). BICD2(arrow) was detected using the purified Pab. |
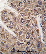
![]() |
Formalin-fixed and paraffin-embedded human hepatocarcinoma tissue reacted with BICD2 antibody (C-term) (Cat.#P30315), which was peroxidase-conjugated to the secondary antibody, followed by DAB staining. This data demonstrates the use of this antibody for immunohistochemistry; clinical relevance has not been evaluated. |
本公司的所有产品仅用于科学研究或者工业应用等非医疗目的,不可用于人类或动物的临床诊断或治疗,非药用,非食用。
暂无评论
本公司的所有产品仅用于科学研究或者工业应用等非医疗目的,不可用于人类或动物的临床诊断或治疗,非药用,非食用。
中文


发表回复