别名:PA; HPS9; PLDN; BLOS6; PALLID应用:WB,IHC
反应种属:Human, Mouse, Rat
规格:50μl/100μl
| Description |
|---|
| The protein encoded by this gene may play a role in intracellular vesicle trafficking. It interacts with Syntaxin 13 which mediates intracellular membrane fusion. Mutations in this gene cause symptoms associated with Hermansky-Pudlak syndrome-9. Alternative splicing results in multiple transcript variants. A pseudogene related to this gene is located on the X chromosome. |
| Specification | |
|---|---|
| Aliases | PA; HPS9; PLDN; BLOS6; PALLID |
| Swissprot | Q9UL45 |
| WB Predicted band size | 20 kDa |
| Host/Isotype | Rabbit IgG |
| Storage | Store at 4°C short term. Aliquot and store at -20°C long term. Avoid freeze/thaw cycles. |
| Species Reactivity | Human, Mouse, Rat |
| Immunogen | Fusion protein of human BLOC1S6 |
| Formulation | pH7.4 PBS, 0.05% NaN3, 40% Glycerol |
| Application | |
|---|---|
| WB | 1/1000-1/5000 |
| IHC | 1/50-1/200 |
| ELISA | 1/5000-1/10000 |
![]() |
Gel: 12%SDS-PAGE, Lysate: 40 μg, Lane 1-6: HepG2, K562, 293T, Jurkat, Hela and 231 cell lysates, Primary antibody: P03265(BLOC1S6 Antibody) at dilution 1/600, Secondary antibody: Goat anti rabbit IgG at 1/5000 dilution, Exposure time: 3 seconds |
![]() |
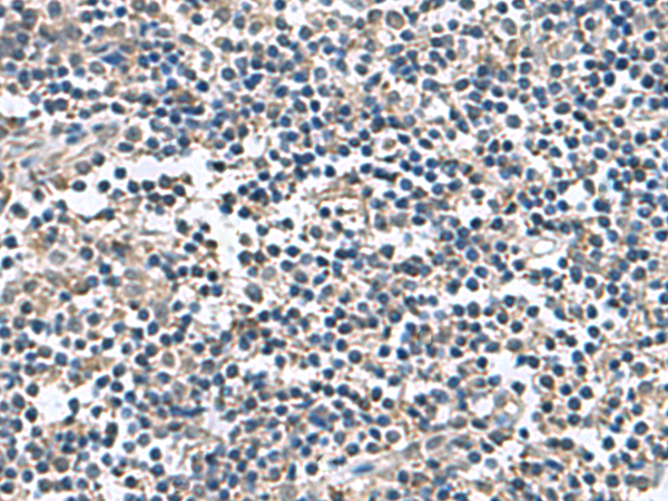
The image is immunohistochemistry of paraffin-embedded Human tonsil tissue using P03265(BLOC1S6 Antibody) at dilution 1/60. (Original magnification: ×200) |
本公司的所有产品仅用于科学研究或者工业应用等非医疗目的,不可用于人类或动物的临床诊断或治疗,非药用,非食用。
暂无评论
本公司的所有产品仅用于科学研究或者工业应用等非医疗目的,不可用于人类或动物的临床诊断或治疗,非药用,非食用。
中文


发表回复