别名:ARNTL; BHLHE5; BMAL1; MOP3; PASD3; Aryl hydrocarbon receptor nuclear translocator-like protein 1; Basic-helix-loop-helix-PAS protein MOP3; Brain and muscle ARNT-like 1Class E basic helix-loop-helix protein 5; bHLHe5; Member of PAS protein 3; PAS domain-containing protein 3; bHLH-PAS protein JAP3应用:WB,IHC
反应种属:Human,Mouse,Rat
规格:50μl/100μl
| Description |
|---|
| The cellular circadian clockwork consists of interwoven positive and negative regulatory loops, or limbs (1,2). The positive limb includes the CLOCK and BMAL1 proteins, two basic helix-loop-helix-PAS containing transcription factors that bind E box enhancer elements and activate transcription of their target genes. |
| Specification | |
|---|---|
| Aliases | ARNTL; BHLHE5; BMAL1; MOP3; PASD3; Aryl hydrocarbon receptor nuclear translocator-like protein 1; Basic-helix-loop-helix-PAS protein MOP3; Brain and muscle ARNT-like 1Class E basic helix-loop-helix protein 5; bHLHe5; Member of PAS protein 3; PAS domain-containing protein 3; bHLH-PAS protein JAP3 |
| Entrez GeneID | 406 |
| Swissprot | O00327 |
| WB Predicted band size | Calculated MW: 69 kDa; Observed MW: 69 kDa |
| Host/Isotype | Rabbit IgG |
| Storage | Store at 4°C short term. Aliquot and store at -20°C long term. Avoid freeze/thaw cycles. |
| Species Reactivity | Human,Mouse,Rat |
| Immunogen | The antiserum was produced against synthesized peptide derived from human BMAL1 around the non-acetylation site of Lys538. AA range:501-550 |
| Formulation | Liquid in PBS containing 50% glycerol, 0.5% BSA and 0.02% sodium azide, pH 7.3. |
| Application | |
|---|---|
| WB | 1/500-1/1000 |
| IHC | 1/50-1/100 |
| ELISA | 1/10000 |
![]() |
Western blot analysis of BMAL1 in K562 lysates using BMAL1 antibody. |
![]() |
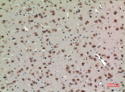
Immunohistochemistry analysis of paraffin-embedded rat brain using BMAL1 antibody.High-pressure and temperature Sodium Citrate pH 6.0 was used for antigen retrieval. |
![]() |
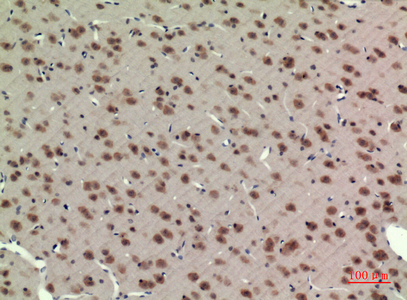
Immunohistochemistry analysis of paraffin-embedded rat brain using BMAL1 antibody. High-pressure and temperature Sodium Citrate pH 6.0 was used for antigen retrieval. |
![]() |
Immunohistochemistry analysis of paraffin-embedded rat brain using BMAL1 antibody.High-pressure and temperature Sodium Citrate pH 6.0 was used for antigen retrieval. |
本公司的所有产品仅用于科学研究或者工业应用等非医疗目的,不可用于人类或动物的临床诊断或治疗,非药用,非食用。
暂无评论
本公司的所有产品仅用于科学研究或者工业应用等非医疗目的,不可用于人类或动物的临床诊断或治疗,非药用,非食用。
中文




发表回复