别名:Bone morphogenetic protein 7, BMP-7, Osteogenic protein 1, OP-1, Eptotermin alfa, BMP7, OP1应用:WB,IHC,ICC
反应种属:Human
规格:50μl/100μl
| Description |
|---|
| The bone morphogenetic proteins (BMPs) are a family of secreted signaling molecules that can induce ectopic bone growth. Many BMPs are part of the transforming growth factor-beta (TGFB) superfamily. BMPs were originally identified by an ability of demineralized bone extract to induce endochondral osteogenesis in vivo in an extraskeletal site. Based on its expression early in embryogenesis, BMP7 has a proposed role in early development. In addition, the fact that BMP7 is closely related to BMP5 and BMP6 has lead to speculation of possible bone inductive activity. |
| Specification | |
|---|---|
| Aliases | Bone morphogenetic protein 7, BMP-7, Osteogenic protein 1, OP-1, Eptotermin alfa, BMP7, OP1 |
| Entrez GeneID | 655 |
| Swissprot | P18075 |
| WB Predicted band size | 49.3kDa |
| Host/Isotype | Rabbit IgG |
| Storage | Store at 4°C short term. Aliquot and store at -20°C long term. Avoid freeze/thaw cycles. |
| Species Reactivity | Human |
| Immunogen | This Bmp7 antibody is generated from rabbits immunized with a KLH conjugated synthetic peptide between 15-44 amino acids from the N-terminal region of human Bmp7. |
| Formulation | Purified polyclonal antibody supplied in PBS with 0.05% sodium azide. This antibody is prepared by Saturated Ammonium Sulfate (SAS) precipitation followed by dialysis against PBS. |
| Application | |
|---|---|
| WB | 1/1000 |
| IHC | 1/100-1/500 |
| ICC | 1/50-1/100 |
![]() |
Western blot analysis of Bmp7 (arrow) using rabbit polyclonal Bmp7 Antibody (N-term) (Cat.#P30058). 293 cell lysates (2 ug/lane) either nontransfected (Lane 1) or transiently transfected with the Bmp7 gene (Lane 2) (Origene Technologies). |
![]() |
Immunofluorescence analysis of Bmp7 Antibody (N-term) (Cat.#P30058) in HeLa cells. 0.025 mg/ml primary antibody was followed by Alexa-Fluor-546-conjugated donkey anti-rabbit lgG (H+L). Alexa-Fluor-546 emits orange fluorescence. Blue counterstaining is DAPI. |
![]() |
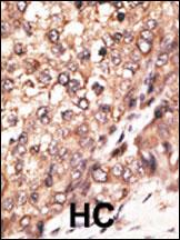
Formalin-fixed and paraffin-embedded human cancer tissue reacted with the primary antibody, which was peroxidase-conjugated to the secondary antibody, followed by DAB staining. This data demonstrates the use of this antibody for immunohistochemistry; clinical relevance has not been evaluated. BC = breast carcinoma; HC = hepatocarcinoma. |
本公司的所有产品仅用于科学研究或者工业应用等非医疗目的,不可用于人类或动物的临床诊断或治疗,非药用,非食用。
暂无评论
本公司的所有产品仅用于科学研究或者工业应用等非医疗目的,不可用于人类或动物的临床诊断或治疗,非药用,非食用。
中文



发表回复