别名:Bone morphogenetic protein receptor type-1A, BMP type-1A receptor, BMPR-1A, Activin receptor-like kinase 3, ALK-3, Serine/threonine-protein kinase receptor R5, SKR5, CD292, BMPR1A, ACVRLK3, ALK3应用:WB,IHC
反应种属:Human, Mouse, Rat
规格:50μl/100μl
| Description |
|---|
| The bone morphogenetic protein (BMP) receptors are a family of transmembrane serine/threonine kinases that include the type I receptors BMPR1A and BMPR1B and the type II receptor BMPR2. These receptors are also closely related to the activin receptors, ACVR1 and ACVR2. The ligands of these receptors are members of the TGF-beta superfamily. TGF-betas and activins transduce their signals through the formation of heteromeric complexes with 2 different types of serine (threonine) kinase receptors: type I receptors of about 50-55 kD and type II receptors of about 70-80 kD. Type II receptors bind ligands in the absence of type I receptors, but they require their respective type I receptors for signaling, whereas type I receptors require their respective type II receptors for ligand binding. |
| Specification | |
|---|---|
| Aliases | Bone morphogenetic protein receptor type-1A, BMP type-1A receptor, BMPR-1A, Activin receptor-like kinase 3, ALK-3, Serine/threonine-protein kinase receptor R5, SKR5, CD292, BMPR1A, ACVRLK3, ALK3 |
| Entrez GeneID | 657 |
| Swissprot | P36894 |
| WB Predicted band size | 60.2kDa |
| Host/Isotype | Rabbit IgG |
| Storage | Store at 4°C short term. Aliquot and store at -20°C long term. Avoid freeze/thaw cycles. |
| Species Reactivity | Human, Mouse, Rat |
| Immunogen | This BMPR1A antibody is generated from rabbits immunized with a KLH conjugated synthetic peptide between 30-60 amino acids from the N-terminal region of human BMPR1A. |
| Formulation | Purified polyclonal antibody supplied in PBS with 0.05% sodium azide. This antibody is prepared by Saturated Ammonium Sulfate (SAS) precipitation followed by dialysis against PBS. |
| Application | |
|---|---|
| WB | 1/1000 |
| IHC | 1/100-1/500 |
![]() |
Western blot analysis of lysate from mouse kidney tissue, using BMPR1A Antibody (E45)(Cat. #P32794). P32794 was diluted at 1:1000. A goat anti-rabbit IgG H&L(HRP) at 1:10000 dilution was used as the secondary antibody. Lysate at 20ug. |
![]() |
Western blot analysis of anti-BMPR1A Pab (Cat. #ap2004a) in Saos-2 cell lysate. BMPR1A (arrow) was detected using purified Pab. Secondary HRP-anti-rabbit was used for signal visualization with chemiluminescence. |
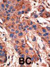
![]() |
Formalin-fixed and paraffin-embedded human cancer tissue reacted with the primary antibody, which was peroxidase-conjugated to the secondary antibody, followed by AEC staining. This data demonstrates the use of this antibody for immunohistochemistry; clinical relevance has not been evaluated. BC = breast carcinoma; HC = hepatocarcinoma. |
本公司的所有产品仅用于科学研究或者工业应用等非医疗目的,不可用于人类或动物的临床诊断或治疗,非药用,非食用。
暂无评论
本公司的所有产品仅用于科学研究或者工业应用等非医疗目的,不可用于人类或动物的临床诊断或治疗,非药用,非食用。
中文



发表回复