别名:FAM44B应用:IHC
反应种属:Human, Mouse, Rat
规格:50μl/100μl
| Description |
|---|
| Bod1, a protein conserved throughout metazoans that associates with a large macromolecular complex and localizes with kinetochores and spindle poles during mitosis. Bod1-depleted cells form syntelic attachments that can oscillate and generate enough force to separate sister kinetochores, suggesting that microtubule-kinetochore interactions were intact. Releasing Bod1-depleted cells from a monastrol block increases the frequency of syntelic attachments and the number of cells displaying biorientation defects. |
| Specification | |
|---|---|
| Aliases | FAM44B |
| Swissprot | Q96IK1 |
| Host/Isotype | Rabbit IgG |
| Storage | Store at 4°C short term. Aliquot and store at -20°C long term. Avoid freeze/thaw cycles. |
| Species Reactivity | Human, Mouse, Rat |
| Immunogen | Synthetic peptide of human BOD1 |
| Formulation | pH7.4 PBS, 0.05% NaN3, 40% Glycerol |
| Application | |
|---|---|
| IHC | 1/50-1/200 |
| ELISA | 1/1000-1/5000 |
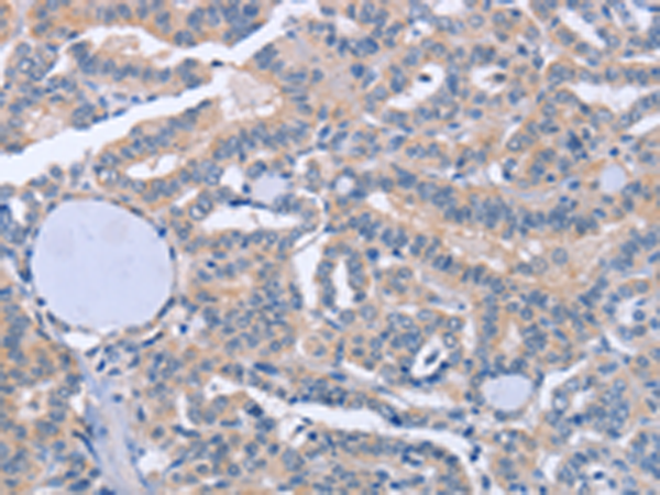
![]() |
The image is immunohistochemistry of paraffin-embedded Human cervical cancer tissue using P11604(BOD1 Antibody) at dilution 1/60. (Original magnification: ×200) |
![]() |
The image is immunohistochemistry of paraffin-embedded Human thyroid cancer tissue using P11604(BOD1 Antibody) at dilution 1/60. (Original magnification: ×200) |
本公司的所有产品仅用于科学研究或者工业应用等非医疗目的,不可用于人类或动物的临床诊断或治疗,非药用,非食用。
暂无评论
本公司的所有产品仅用于科学研究或者工业应用等非医疗目的,不可用于人类或动物的临床诊断或治疗,非药用,非食用。
中文


发表回复