别名:Bcl-2-related ovarian killer protein, hBOK, Bcl-2-like protein 9, Bcl2-L-9, BOK, BCL2L9应用:WB,IHC
反应种属:Human, Mouse, Rat
规格:50μl/100μl
| Description |
|---|
| Bok belongs to the BCL-2 protein family. BCL-2 family members form hetero- or homodimers and act as anti- and pro-apoptotic regulators that are involved in a wide variety of cellular activities. This protein contains all four BCL-2 like domains (BH1, 2, 3 and 4) and is a pro-apoptotic BCL-2 protein identified in the ovary. |
| Specification | |
|---|---|
| Aliases | Bcl-2-related ovarian killer protein, hBOK, Bcl-2-like protein 9, Bcl2-L-9, BOK, BCL2L9 |
| Entrez GeneID | 666 |
| Swissprot | Q9UMX3 |
| WB Predicted band size | 23.3kDa |
| Host/Isotype | Rabbit IgG |
| Storage | Store at 4°C short term. Aliquot and store at -20°C long term. Avoid freeze/thaw cycles. |
| Species Reactivity | Human, Mouse, Rat |
| Formulation | Purified polyclonal antibody supplied in PBS with 0.05% sodium azide. This antibody is prepared by Saturated Ammonium Sulfate (SAS) precipitation followed by dialysis against PBS. |
| Application | |
|---|---|
| WB | 1/1000 |
| IHC | 1/100-1/500 |
![]() |
Western blot analysis of anti-Bok BH3 domain Pab (Cat. #P30012) in HL-60 cell lysate. Bok BH3 domain (arrow) was detected using purified Pab. Secondary HRP-anti-rabbit was used for signal visualization with chemiluminescence. |
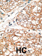
![]() |
Formalin-fixed and paraffin-embedded human cancer tissue reacted with the primary antibody, which was peroxidase-conjugated to the secondary antibody, followed by DAB staining. This data demonstrates the use of this antibody for immunohistochemistry; clinical relevance has not been evaluated. BC = breast carcinoma; HC = hepatocarcinoma. |
本公司的所有产品仅用于科学研究或者工业应用等非医疗目的,不可用于人类或动物的临床诊断或治疗,非药用,非食用。
暂无评论
本公司的所有产品仅用于科学研究或者工业应用等非医疗目的,不可用于人类或动物的临床诊断或治疗,非药用,非食用。
中文


发表回复