别名:BOKL; BCL2L9应用:IHC
反应种属:Human, Mouse, Rat
规格:50μl/100μl
| Description |
|---|
| The protein encoded by this gene belongs to the BCL2 family, members of which form homo- or heterodimers, and act as anti- or proapoptotic regulators that are involved in a wide variety of cellular processes. Studies in rat show that this protein has restricted expression in reproductive tissues, interacts strongly with some antiapoptotic BCL2 proteins, not at all with proapoptotic BCL2 proteins, and induces apoptosis in transfected cells. Thus, this protein represents a proapoptotic member of the BCL2 family. |
| Specification | |
|---|---|
| Aliases | BOKL; BCL2L9 |
| Swissprot | Q9UMX3 |
| Host/Isotype | Rabbit IgG |
| Storage | Store at 4°C short term. Aliquot and store at -20°C long term. Avoid freeze/thaw cycles. |
| Species Reactivity | Human, Mouse, Rat |
| Immunogen | Synthetic peptide of human BOK |
| Formulation | pH7.4 PBS, 0.05% NaN3, 40% Glycerol |
| Application | |
|---|---|
| IHC | 1/50-1/200 |
| ELISA | 1/5000-1/10000 |
![]() |
The image is immunohistochemistry of paraffin-embedded Human colorectal cancer tissue using P11225(BOK(BH3 domain) Antibody) at dilution 1/55. (Original magnification: ×200) |
![]() |
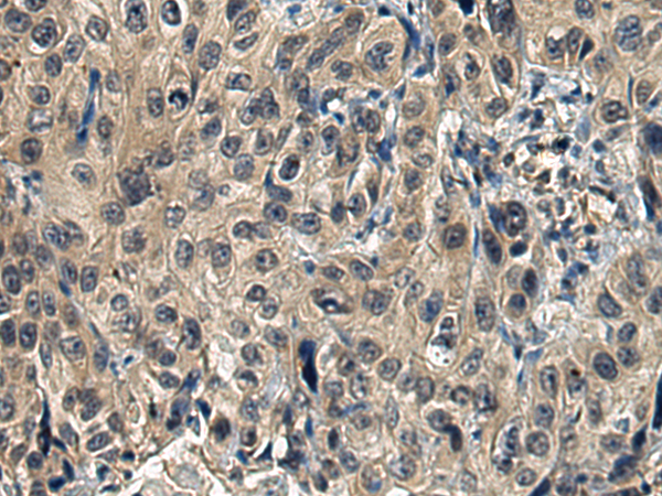
The image is immunohistochemistry of paraffin-embedded Human esophagus cancer tissue using P11225(BOK(BH3 domain) Antibody) at dilution 1/55. (Original magnification: ×200) |
本公司的所有产品仅用于科学研究或者工业应用等非医疗目的,不可用于人类或动物的临床诊断或治疗,非药用,非食用。
暂无评论
本公司的所有产品仅用于科学研究或者工业应用等非医疗目的,不可用于人类或动物的临床诊断或治疗,非药用,非食用。
中文


发表回复