别名:LPLUNC1, C20orf114应用:IHC
反应种属:Human
规格:50μl/100μl
| Description |
|---|
| The protein encoded by this gene may be involved in the innate immune response to bacterial exposure in the mouth, nasal cavities, and lungs. The encoded protein is secreted and is a member of the BPI/LBP/PLUNC protein superfamily. This gene is found with other members of the superfamily in a cluster on chromosome 20. |
| Specification | |
|---|---|
| Aliases | LPLUNC1, C20orf114 |
| Swissprot | Q8TDL5 |
| Host/Isotype | Rabbit IgG |
| Storage | Store at 4°C short term. Aliquot and store at -20°C long term. Avoid freeze/thaw cycles. |
| Species Reactivity | Human |
| Immunogen | Synthetic peptide of human BPIFB1 |
| Formulation | pH7.4 PBS, 0.05% NaN3, 40% Glycerol |
| Application | |
|---|---|
| IHC | 1/25-1/100 |
| ELISA | 1/1000-1/5000 |
![]() |
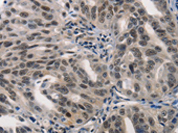
The image is immunohistochemistry of paraffin-embedded Human colon cancer tissue using P04076(BPIFB1 Antibody) at dilution 1/40. (Original magnification: ×200) |
![]() |
The image is immunohistochemistry of paraffin-embedded Human ovarian cancer tissue using P04076(BPIFB1 Antibody) at dilution 1/40. (Original magnification: ×200) |
本公司的所有产品仅用于科学研究或者工业应用等非医疗目的,不可用于人类或动物的临床诊断或治疗,非药用,非食用。
暂无评论
本公司的所有产品仅用于科学研究或者工业应用等非医疗目的,不可用于人类或动物的临床诊断或治疗,非药用,非食用。
中文


发表回复