别名:KG19; BNAS1; HCCR-1; HCCR-2; HCCRBP-1应用:WB,IHC
反应种属:Human, Mouse
规格:50μl/100μl
| Description |
|---|
| BRI3BP (BRI3 binding protein), also known as BNAS1, HCCR-1, I3-binding protein or cervical cancer 1 proto-oncogene-binding protein KG19, is a 251 amino acid multi-pass membrane protein. Though widely expressed, BRI3BP is found at highest levels in brain, kidney and liver where it localizes to the endoplasmic reticulum (ER) and is involved in ER structural dynamics and mitochondrial viability. Possessing pro-apoptotic properties and the ability to potentiate drug-induced apoptosis, BRI3BP overexpression has been shown to enhance caspase-3 and mitochondrial cytochrome c release in etoposide-treated human embryonic kidney 293T cells. |
| Specification | |
|---|---|
| Aliases | KG19; BNAS1; HCCR-1; HCCR-2; HCCRBP-1 |
| Swissprot | Q8WY22 |
| WB Predicted band size | 28 kDa |
| Host/Isotype | Rabbit IgG |
| Storage | Store at 4°C short term. Aliquot and store at -20°C long term. Avoid freeze/thaw cycles. |
| Species Reactivity | Human, Mouse |
| Immunogen | Synthetic peptide of human BRI3BP |
| Formulation | pH7.4 PBS, 0.05% NaN3, 40% Glycerol |
| Application | |
|---|---|
| WB | 1/200-1/1000 |
| IHC | 1/25-1/100 |
| ELISA | 1/5000-1/10000 |
![]() |
Gel: 12%SDS-PAGE, Lysate: 40 μg, Lane 1-3: K562 cell, Mouse brain tissue and RAW264.7 cell lysates, Primary antibody: P12686(BRI3BP Antibody) at dilution 1/250, Secondary antibody: Goat anti rabbit IgG at 1/8000 dilution, Exposure time: 5 seconds |
![]() |
The image is immunohistochemistry of paraffin-embedded Human lung cancer tissue using P12686(BRI3BP Antibody) at dilution 1/20. (Original magnification: ×200) |
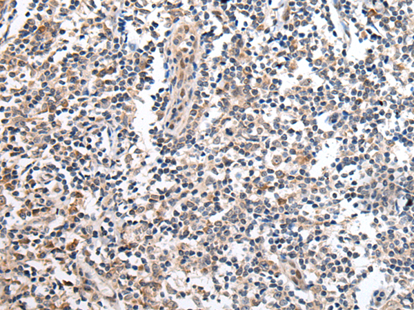
![]() |
The image is immunohistochemistry of paraffin-embedded Human tonsil tissue using P12686(BRI3BP Antibody) at dilution 1/20. (Original magnification: ×200) |
本公司的所有产品仅用于科学研究或者工业应用等非医疗目的,不可用于人类或动物的临床诊断或治疗,非药用,非食用。
暂无评论
本公司的所有产品仅用于科学研究或者工业应用等非医疗目的,不可用于人类或动物的临床诊断或治疗,非药用,非食用。
中文



发表回复