别名:ANA; TOB5; TOFA; APRO4; TOB55; ANA/BTG3应用:WB,IHC
反应种属:Human, Mouse
规格:50μl/100μl
| Description |
|---|
| The protein encoded by this gene is a member of the BTG/Tob family. This family has structurally related proteins that appear to have antiproliferative properties. This encoded protein might play a role in neurogenesis in the central nervous system. Two transcript variants encoding different isoforms have been found for this gene. |
| Specification | |
|---|---|
| Aliases | ANA; TOB5; TOFA; APRO4; TOB55; ANA/BTG3 |
| Swissprot | Q14201 |
| WB Predicted band size | 29 kDa |
| Host/Isotype | Rabbit IgG |
| Storage | Store at 4°C short term. Aliquot and store at -20°C long term. Avoid freeze/thaw cycles. |
| Species Reactivity | Human, Mouse |
| Immunogen | Fusion protein of human BTG3 |
| Formulation | pH7.4 PBS, 0.05% NaN3, 40% Glycerol |
| Application | |
|---|---|
| WB | 1/1000-1/5000 |
| IHC | 1/100-1/200 |
| ELISA | 1/5000-1/10000 |
![]() |
Gel: 8%SDS-PAGE, Lysate: 40 μg, Lane: Mouse testis tissue lysate, Primary antibody: P07137(BTG3 Antibody) at dilution 1/1000, Secondary antibody: Goat anti rabbit IgG at 1/5000 dilution, Exposure time: 2 minutes |
![]() |
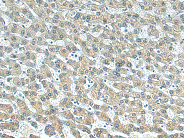
The image is immunohistochemistry of paraffin-embedded Human liver cancer tissue using P07137(BTG3 Antibody) at dilution 1/140. (Original magnification: ×200) |
本公司的所有产品仅用于科学研究或者工业应用等非医疗目的,不可用于人类或动物的临床诊断或治疗,非药用,非食用。
暂无评论
本公司的所有产品仅用于科学研究或者工业应用等非医疗目的,不可用于人类或动物的临床诊断或治疗,非药用,非食用。
中文


发表回复