别名:Mitotic interactor and substrate of PLK1, Mitotic spindle positioning protein, MISP, C19orf21应用:WB,IHC,FCM
反应种属:Human
规格:50μl/100μl
| Description |
|---|
| The exact function of C19orf21 remains unknown. |
| Specification | |
|---|---|
| Aliases | Mitotic interactor and substrate of PLK1, Mitotic spindle positioning protein, MISP, C19orf21 |
| Entrez GeneID | 126353 |
| Swissprot | Q8IVT2 |
| WB Predicted band size | 75.4kDa |
| Host/Isotype | Rabbit IgG |
| Storage | Store at 4°C short term. Aliquot and store at -20°C long term. Avoid freeze/thaw cycles. |
| Species Reactivity | Human |
| Immunogen | This C19orf21 antibody is generated from rabbits immunized with a KLH conjugated synthetic peptide between 63-91 amino acids from the N-terminal region of human C19orf21. |
| Formulation | Purified polyclonal antibody supplied in PBS with 0.05% sodium azide. This antibody is purified through a protein A column, followed by peptide affinity purification. |
| Application | |
|---|---|
| WB | 1/1000 |
| IHC | 1/100-1/500 |
| FCM | 1/10-1/50 |
![]() |
Western blot analysis of C19orf21 Antibody (N-term) (Cat. #P30571) in HepG2 cell line lysates (35ug/lane). C19orf21 (arrow) was detected using the purified Pab. |
![]() |
C19orf21 Antibody (N-term) (Cat. #P30571) flow cytometric analysis of HepG2 cells (right histogram) compared to a negative control cell (left histogram).FITC-conjugated goat-anti-rabbit secondary antibodies were used for the analysis. |
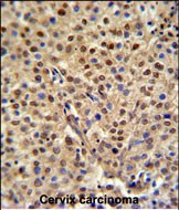
![]() |
C19orf21 Antibody (N-term) (Cat. #P30571) IHC analysis in formalin fixed and paraffin embedded human cervix carcinoma followed by peroxidase conjugation of the secondary antibody and DAB staining. This data demonstrates the use of the C19orf21 Antibody (N-term) for immunohistochemistry. Clinical relevance has not been evaluated. |
本公司的所有产品仅用于科学研究或者工业应用等非医疗目的,不可用于人类或动物的临床诊断或治疗,非药用,非食用。
暂无评论
本公司的所有产品仅用于科学研究或者工业应用等非医疗目的,不可用于人类或动物的临床诊断或治疗,非药用,非食用。
中文



发表回复