别名:C4A; CO4; CPAMD2; Complement C4-A; Acidic complement C4; C3 and PZP-like alpha-2-macroglobulin domain-containing protein 2; C4B; CO4; CPAMD3; Complement C4-B; Basic complement C4; C3 and PZP-like alpha-2-macroglobulin domain-containing protein 3应用:WB,IHC
反应种属:Human
规格:50μl/100μl
| Description |
|---|
| Induces the contraction of smooth muscle, increases vascular permeability and causes histamine release from mast cells and basophilic leukocytes. |
| Specification | |
|---|---|
| Aliases | C4A; CO4; CPAMD2; Complement C4-A; Acidic complement C4; C3 and PZP-like alpha-2-macroglobulin domain-containing protein 2; C4B; CO4; CPAMD3; Complement C4-B; Basic complement C4; C3 and PZP-like alpha-2-macroglobulin domain-containing protein 3 |
| Entrez GeneID | 720/721 |
| Swissprot | P0C0L4/P0C0L5 |
| WB Predicted band size | Calculated MW: 193 kDa; Observed MW: 180 kDa |
| Host/Isotype | Rabbit IgG |
| Storage | Store at 4°C short term. Aliquot and store at -20°C long term. Avoid freeze/thaw cycles. |
| Species Reactivity | Human |
| Immunogen | The antiserum was produced against synthesized peptide derived from the Internal region of human C4A/C4B. AA range:721-770 |
| Formulation | Liquid in PBS containing 50% glycerol, 0.5% BSA and 0.02% sodium azide, pH 7.3. |
| Application | |
|---|---|
| WB | 1/500-1/1000 |
| IHC | 1/50-1/100 |
| ELISA | 1/10000 |
![]() |
Western blot analysis of C4A/B in AD293 lysates using C4A/B antibody. |
![]() |
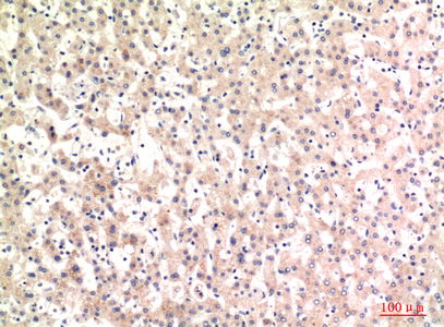
Immunohistochemistry analysis of paraffin-embedded Human liver using C4A/B antibody.High-pressure and temperature Sodium Citrate pH 6.0 was used for antigen retrieval. |
![]() |
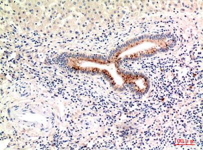
Immunohistochemistry analysis of paraffin-embedded Human liver using C4A/B antibody. High-pressure and temperature Sodium Citrate pH 6.0 was used for antigen retrieval. |
![]() |
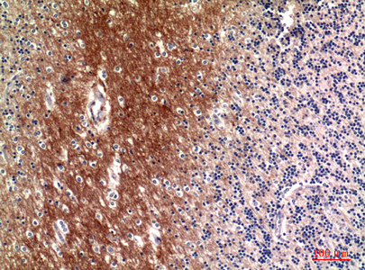
Immunohistochemistry analysis of paraffin-embedded Human brain using C4A/B antibody.High-pressure and temperature Sodium Citrate pH 6.0 was used for antigen retrieval. |
本公司的所有产品仅用于科学研究或者工业应用等非医疗目的,不可用于人类或动物的临床诊断或治疗,非药用,非食用。
暂无评论
本公司的所有产品仅用于科学研究或者工业应用等非医疗目的,不可用于人类或动物的临床诊断或治疗,非药用,非食用。
中文




发表回复