别名:Complement component C6, C6应用:WB,IHC,ICC,FCM
反应种属:Human, Mouse, Rat
规格:50μl/100μl
| Description |
|---|
| C6 is a component of complement cascade. It is part of the membrane attack complex which can insert into the cell membrane and cause cell to lyse. People with C6 deficiency are prone to bacterial infection. |
| Specification | |
|---|---|
| Aliases | Complement component C6, C6 |
| Entrez GeneID | 729 |
| Swissprot | P13671 |
| WB Predicted band size | 104.8kDa |
| Host/Isotype | Rabbit IgG |
| Storage | Store at 4°C short term. Aliquot and store at -20°C long term. Avoid freeze/thaw cycles. |
| Species Reactivity | Human, Mouse, Rat |
| Immunogen | This C6 antibody is generated from rabbits immunized with a KLH conjugated synthetic peptide between 30-58 amino acids from the N-terminal region of human C6. |
| Formulation | Purified polyclonal antibody supplied in PBS with 0.05% sodium azide. This antibody is purified through a protein A column, followed by peptide affinity purification. |
| Application | |
|---|---|
| WB | 1/1000 |
| IHC | 1/100-1/500 |
| ICC | 1/10-1/50 |
| FCM | 1/10-1/50 |
![]() |
Western blot analysis of lysate from human blood plasma tissue lysate, using C6 Antibody (N-term)(Cat. #P30427). P30427 was diluted at 1:1000 at each lane. A goat anti-rabbit IgG H&L(HRP) at 1:5000 dilution was used as the secondary antibody. Lysate at 35ug per lane. |
![]() |
Confocal immunofluorescent analysis of C6 Antibody (N-term)(Cat#P30427) with MDA-MB231 cell followed by Alexa Fluor® 488-conjugated goat anti-rabbit lgG (green). DAPI was used to stain the cell nuclear (blue). |
![]() |
Flow cytometric analysis of MDA-231 cells using C6 Antibody (N-term)(bottom histogram) compared to a negative control cell (top histogram). FITC-conjugated goat-anti-rabbit secondary antibodies were used for the analysis. |
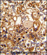
![]() |
Formalin-fixed and paraffin-embedded human breast carcinoma reacted with C6 Antibody (N-term), which was peroxidase-conjugated to the secondary antibody, followed by DAB staining. This data demonstrates the use of this antibody for immunohistochemistry; clinical relevance has not been evaluated. |
本公司的所有产品仅用于科学研究或者工业应用等非医疗目的,不可用于人类或动物的临床诊断或治疗,非药用,非食用。
暂无评论
本公司的所有产品仅用于科学研究或者工业应用等非医疗目的,不可用于人类或动物的临床诊断或治疗,非药用,非食用。
中文




发表回复