别名:Nef-associated protein 1, 312-, Thioesterase NAP1, C9orf156, NAP1应用:WB,IHC
反应种属:Human
规格:50μl/100μl
| Description |
|---|
| C9orf156 hydrolyzes acyl-CoA thioesters (in vitro). It has a preference for substrates with medium chain length (C10-C14). Inactive towards substrates with C18 or C20 aliphatic chains. Its physiological function is not known. |
| Specification | |
|---|---|
| Aliases | Nef-associated protein 1, 312-, Thioesterase NAP1, C9orf156, NAP1 |
| Entrez GeneID | 51531 |
| Swissprot | Q9BU70 |
| WB Predicted band size | 48.6kDa |
| Host/Isotype | Rabbit IgG |
| Storage | Store at 4°C short term. Aliquot and store at -20°C long term. Avoid freeze/thaw cycles. |
| Species Reactivity | Human |
| Immunogen | This C9orf156 antibody is generated from rabbits immunized with a KLH conjugated synthetic peptide between 365-391 amino acids from the C-terminal region of human C9orf156. |
| Formulation | Purified polyclonal antibody supplied in PBS with 0.05% sodium azide. This antibody is purified through a protein A column, followed by peptide affinity purification. |
| Application | |
|---|---|
| WB | 1/1000 |
| IHC | 1/100-1/500 |
![]() |
Western blot analysis of C9orf156 Antibody (C-term) (Cat. #P30428) in Hela, CEM, T47D cell line lysates (35ug/lane). C9orf156 (arrow) was detected using the purified Pab. |
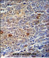
![]() |
C9orf156 Antibody (C-term) (Cat. #P30428) immunohistochemistry analysis in formalin fixed and paraffin embedded human skin carcinoma followed by peroxidase conjugation of the secondary antibody and DAB staining. This data demonstrates the use of the C9orf156 Antibody (C-term) for immunohistochemistry. Clinical relevance has not been evaluated. |
本公司的所有产品仅用于科学研究或者工业应用等非医疗目的,不可用于人类或动物的临床诊断或治疗,非药用,非食用。
暂无评论
本公司的所有产品仅用于科学研究或者工业应用等非医疗目的,不可用于人类或动物的临床诊断或治疗,非药用,非食用。
中文


发表回复