别名:Carbonic anhydrase 1, Carbonate dehydratase I, Carbonic anhydrase B, CAB, Carbonic anhydrase I, CA-I, CA1应用:WB,IHC,FCM
反应种属:Human
规格:50μl/100μl
| Description |
|---|
| Carbonic anhydrases (CAs) are a large family of zinc metalloenzymes that catalyze the reversible hydration of carbon dioxide. They participate in a variety of biological processes, including respiration, calcification, acid-base balance, bone resorption, and the formation of aqueous humor, cerebrospinal fluid, saliva, and gastric acid. They show extensive diversity in tissue distribution and in their subcellular localization. CA1 is closely linked to CA2 and CA3 genes on chromosome 8, and it encodes a cytosolic protein which is found at the highest level in erythrocytes. Variants of this gene have been described in some populations. Multiple alternatively spliced variants, encoding the same protein, have been identified. Transcript variants of CA1 utilizing alternative polyA_sites have been described in literature. |
| Specification | |
|---|---|
| Aliases | Carbonic anhydrase 1, Carbonate dehydratase I, Carbonic anhydrase B, CAB, Carbonic anhydrase I, CA-I, CA1 |
| Entrez GeneID | 759 |
| Swissprot | P00915 |
| WB Predicted band size | 28.9kDa |
| Host/Isotype | Rabbit IgG |
| Storage | Store at 4°C short term. Aliquot and store at -20°C long term. Avoid freeze/thaw cycles. |
| Species Reactivity | Human |
| Immunogen | This CA1 antibody is generated from rabbits immunized with a KLH conjugated synthetic peptide between 60-90 amino acids from the N-terminal region of human CA1. |
| Formulation | Purified polyclonal antibody supplied in PBS with 0.05% sodium azide. This antibody is prepared by Saturated Ammonium Sulfate (SAS) precipitation followed by dialysis against PBS. |
| Application | |
|---|---|
| WB | 1/1000 |
| IHC | 1/100-1/500 |
| FCM | 1/10-1/50 |
![]() |
Western blot analysis of CA1 (arrow) using rabbit polyclonal CA1 Antibody (N-term) (Cat. #P31125). 293 cell lysates (2 ug/lane) either nontransfected (Lane 1) or transiently transfected (Lane 2) with the CA1 gene. |
![]() |
CA1 Antibody (N-term) (Cat. #P31125) flow cytometric analysis of 293 cells (right histogram) compared to a negative control cell (left histogram).FITC-conjugated goat-anti-rabbit secondary antibodies were used for the analysis. |
![]() |
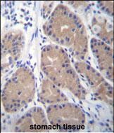
CA1 Antibody (N-term) (Cat. #P31125)immunohistochemistry analysis in formalin fixed and paraffin embedded human stomach tissue followed by peroxidase conjugation of the secondary antibody and DAB staining.This data demonstrates the use of CA1 Antibody (N-term) for immunohistochemistry. Clinical relevance has not been evaluated. |
本公司的所有产品仅用于科学研究或者工业应用等非医疗目的,不可用于人类或动物的临床诊断或治疗,非药用,非食用。
暂无评论
本公司的所有产品仅用于科学研究或者工业应用等非医疗目的,不可用于人类或动物的临床诊断或治疗,非药用,非食用。
中文



发表回复