别名:Carbonic anhydrase 5B, mitochondrial, Carbonate dehydratase VB, Carbonic anhydrase VB, CA-VB, CA5B应用:WB,IHC,FCM
反应种属:Human, Mouse
规格:50μl/100μl
| Description |
|---|
| CA5B belongs a large family of zinc metalloenzymes that catalyze the reversible hydration of carbon dioxide. This protein is localized in the mitochondria and shows the highest sequence similarity to the other mitochondrial CA, CA VA. The protein has a wider tissue distribution than CA VA, which is restricted to the liver. |
| Specification | |
|---|---|
| Aliases | Carbonic anhydrase 5B, mitochondrial, Carbonate dehydratase VB, Carbonic anhydrase VB, CA-VB, CA5B |
| Entrez GeneID | 11238 |
| Swissprot | Q9Y2D0 |
| WB Predicted band size | 36.4kDa |
| Host/Isotype | Rabbit IgG |
| Storage | Store at 4°C short term. Aliquot and store at -20°C long term. Avoid freeze/thaw cycles. |
| Species Reactivity | Human, Mouse |
| Immunogen | This CA5B antibody is generated from rabbits immunized with a KLH conjugated synthetic peptide between 253-283 amino acids from the C-terminal region of human CA5B. |
| Formulation | Purified polyclonal antibody supplied in PBS with 0.05% sodium azide. This antibody is prepared by Saturated Ammonium Sulfate (SAS) precipitation followed by dialysis against PBS. |
| Application | |
|---|---|
| WB | 1/1000 |
| IHC | 1/100-1/500 |
| FCM | 1/10-1/50 |
![]() |
Western blot analysis of CA5B Antibody (C-term) (Cat. #P30489) in mouse liver tissue lysates (35ug/lane). CA5B (arrow) was detected using the purified Pab. |
![]() |
CA5B Antibody (C-term) (Cat. #P30489) flow cytometric analysis of HL-60 cells (right histogram) compared to a negative control cell (left histogram).FITC-conjugated goat-anti-rabbit secondary antibodies were used for the analysis. |
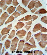
![]() |
CA5B Antibody (C-term) (Cat. #P30489) IHC analysis in formalin fixed and paraffin embedded human skeletal muscle followed by peroxidase conjugation of the secondary antibody and DAB staining. This data demonstrates the use of the CA5B Antibody (C-term) for immunohistochemistry. Clinical relevance has not been evaluated. |
本公司的所有产品仅用于科学研究或者工业应用等非医疗目的,不可用于人类或动物的临床诊断或治疗,非药用,非食用。
暂无评论
本公司的所有产品仅用于科学研究或者工业应用等非医疗目的,不可用于人类或动物的临床诊断或治疗,非药用,非食用。
中文



发表回复