别名:Carbonic anhydrase 6, Carbonate dehydratase VI, Carbonic anhydrase VI, CA-VI, Salivary carbonic anhydrase, Secreted carbonic anhydrase, CA6应用:WB,IHC,FCM
反应种属:Human
规格:50μl/100μl
| Description |
|---|
| The protein encoded by this gene is one of several isozymes of carbonic anhydrase. This protein is found only in salivary glands and saliva and protein may play a role in the reversible hydratation of carbon dioxide though its function in saliva is unknown. |
| Specification | |
|---|---|
| Aliases | Carbonic anhydrase 6, Carbonate dehydratase VI, Carbonic anhydrase VI, CA-VI, Salivary carbonic anhydrase, Secreted carbonic anhydrase, CA6 |
| Entrez GeneID | 765 |
| Swissprot | P23280 |
| WB Predicted band size | 35.4kDa |
| Host/Isotype | Rabbit IgG |
| Storage | Store at 4°C short term. Aliquot and store at -20°C long term. Avoid freeze/thaw cycles. |
| Species Reactivity | Human |
| Immunogen | This CA6 antibody is generated from rabbits immunized with a KLH conjugated synthetic peptide between 279-308 amino acids from the C-terminal region of human CA6. |
| Formulation | Purified polyclonal antibody supplied in PBS with 0.05% sodium azide. This antibody is purified through a protein A column, followed by peptide affinity purification. |
| Application | |
|---|---|
| WB | 1/1000 |
| IHC | 1/100-1/500 |
| FCM | 1/10-1/50 |
![]() |
Western blot analysis of CA6 Antibody (C-term) (Cat. #P30540) in CEM cell line lysates (35ug/lane). CA6 (arrow) was detected using the purified Pab. |
![]() |
CA6 Antibody (C-term) (Cat. #P30540) flow cytometric analysis of CEM cells (right histogram) compared to a negative control cell (left histogram).FITC-conjugated goat-anti-rabbit secondary antibodies were used for the analysis. |
![]() |
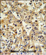
CA6 Antibody (C-term) (Cat. #P30540) IHC analysis in formalin fixed and paraffin embedded breast carcinoma followed by peroxidase conjugation of the secondary antibody and DAB staining. This data demonstrates the use of the CA6 Antibody (C-term) for immunohistochemistry. Clinical relevance has not been evaluated. |
本公司的所有产品仅用于科学研究或者工业应用等非医疗目的,不可用于人类或动物的临床诊断或治疗,非药用,非食用。
暂无评论
本公司的所有产品仅用于科学研究或者工业应用等非医疗目的,不可用于人类或动物的临床诊断或治疗,非药用,非食用。
中文



发表回复