别名:CT3; CT95; CTAG3; bA69L16.7应用:IHC
反应种属:Human
规格:50μl/100μl
| Description |
|---|
| CAGE1, also known as CT3; CT95; CTAG3; bA69L16.7, is a 639-amino acid protein. It shares 76% sequence identity with a monkey homolog. RT-PCR analysis detected testis-specific expression among normal tissues and wide expression among various cancer tissues and cancer cell lines including those from cervical, melanoma, hepatic, renal, myeloma, and breast cancers. CTAG3 was overexpressed in cancer tissues compared with surrounding noncancerous tissues. Transfection experiments with a GFP-CTAG3 construct indicated a predominantly nuclear localization. |
| Specification | |
|---|---|
| Aliases | CT3; CT95; CTAG3; bA69L16.7 |
| Swissprot | Q8TC20 |
| Host/Isotype | Rabbit IgG |
| Storage | Store at 4°C short term. Aliquot and store at -20°C long term. Avoid freeze/thaw cycles. |
| Species Reactivity | Human |
| Immunogen | Synthetic peptide of human CAGE1 |
| Formulation | pH7.4 PBS, 0.05% NaN3, 40% Glycerol |
| Application | |
|---|---|
| IHC | 1/15-1/50 |
| ELISA | 1/1000-1/2000 |
![]() |
The image is immunohistochemistry of paraffin-embedded Human lung cancer tissue using P04733(CAGE1 Antibody) at dilution 1/15. (Original magnification: ×200) |
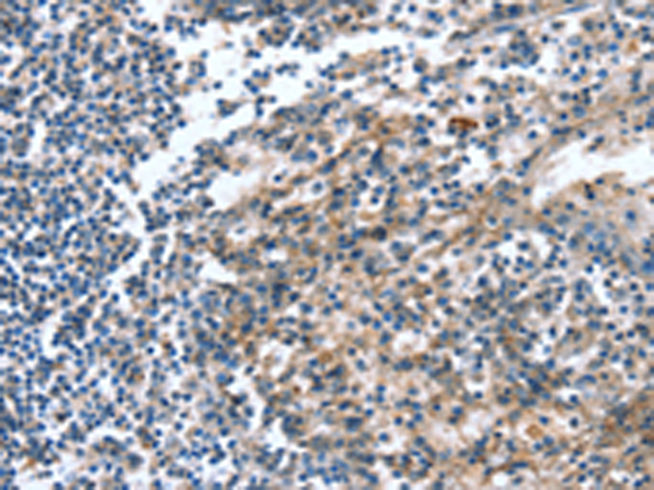
![]() |
The image is immunohistochemistry of paraffin-embedded Human tonsil tissue using P04733(CAGE1 Antibody) at dilution 1/15. (Original magnification: ×200) |
本公司的所有产品仅用于科学研究或者工业应用等非医疗目的,不可用于人类或动物的临床诊断或治疗,非药用,非食用。
暂无评论
本公司的所有产品仅用于科学研究或者工业应用等非医疗目的,不可用于人类或动物的临床诊断或治疗,非药用,非食用。
中文


发表回复