别名:Cocoa; PP13275; calphoglin应用:IHC
反应种属:Human, Mouse, Rat
规格:50μl/100μl
| Description |
|---|
| CALCOCO1 (calcium-binding and coiled-coil domain-containing protein 1), also known as cocoa, calphoglin, sarcoma antigen NY-SAR-3 or coiled-coil coactivator protein, is a 691 amino acid protein that shuttles between the cytoplasm and nucleus and functions as coactivator for aryl hydrocarbon and nuclear receptors. A member of the CALCOCO family, CALCOCO1 is forms a calphoglin complex with PPA1 and PGM 1 and contains multiple functional domains through which it acts as a component of both the androgen signaling pathway and the Wnt/β-catenin signaling pathway. CALCOCO1 exists as three alternatively spliced isoforms (termed Q9P1Z2-1, 2 and 3), which are encoded by genes mapping to human chromosome 12q13.13 and mouse chromosome 15 F3. |
| Specification | |
|---|---|
| Aliases | Cocoa; PP13275; calphoglin |
| Swissprot | Q9P1Z2 |
| Host/Isotype | Rabbit IgG |
| Storage | Store at 4°C short term. Aliquot and store at -20°C long term. Avoid freeze/thaw cycles. |
| Species Reactivity | Human, Mouse, Rat |
| Immunogen | Fusion protein of human CALCOCO1 |
| Formulation | pH7.4 PBS, 0.05% NaN3, 40% Glycerol |
| Application | |
|---|---|
| IHC | 1/30-1/150 |
| ELISA | 1/5000-1/10000 |
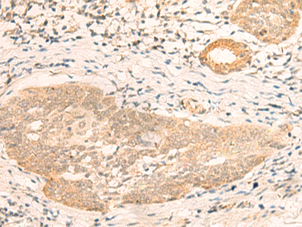
![]() |
The image is immunohistochemistry of paraffin-embedded Human cervical cancer tissue using P02938(CALCOCO1 Antibody) at dilution 1/40. (Original magnification: ×200) |
![]() |
The image is immunohistochemistry of paraffin-embedded Human esophagus cancer tissue using P02938(CALCOCO1 Antibody) at dilution 1/40. (Original magnification: ×200) |
本公司的所有产品仅用于科学研究或者工业应用等非医疗目的,不可用于人类或动物的临床诊断或治疗,非药用,非食用。
暂无评论
本公司的所有产品仅用于科学研究或者工业应用等非医疗目的,不可用于人类或动物的临床诊断或治疗,非药用,非食用。
中文


发表回复