别名:CAMK2B; CAM2; CAMK2; CAMKB; Calcium/calmodulin-dependent protein kinase type II subunit beta; CaM kinase II subunit beta; CaMK-II subunit beta; CAMK2G; CAMK; CAMK-II; CAMKG; Calcium/calmodulin-dependent protein kinase type II subunit gamma应用:WB,IHC,ICC
反应种属:Human,Mouse,Rat
规格:50μl/100μl
| Description |
|---|
| CaM-kinase II (CAMK2) is a prominent kinase in the central nervous system that may function in long-term potentiation and neurotransmitter release. Member of the NMDAR signaling complex in excitatory synapses it may regulate NMDAR-dependent potentiation of the AMPAR and synaptic plasticity. |
| Specification | |
|---|---|
| Aliases | CAMK2B; CAM2; CAMK2; CAMKB; Calcium/calmodulin-dependent protein kinase type II subunit beta; CaM kinase II subunit beta; CaMK-II subunit beta; CAMK2G; CAMK; CAMK-II; CAMKG; Calcium/calmodulin-dependent protein kinase type II subunit gamma |
| Entrez GeneID | 816 |
| Swissprot | Q13554 |
| WB Predicted band size | Calculated MW: 73 kDa; Observed MW: 45,60 kDa |
| Host/Isotype | Rabbit IgG |
| Storage | Store at 4°C short term. Aliquot and store at -20°C long term. Avoid freeze/thaw cycles. |
| Species Reactivity | Human,Mouse,Rat |
| Immunogen | A synthesized peptide derived from human CaMKII |
| Formulation | Rabbit IgG in phosphate buffered saline , pH 7.4, 150mM NaCl, 0.02% sodium azide and 50% glycerol. |
| Application | |
|---|---|
| WB | 1/500-1/1000 |
| IHC | 1/50-1/100 |
| ICC | 1/50-1/200 |
![]() |
Western blot analysis of CaMKII in (1)mouse brain lysates ;(2)Rat brain lysates using CaMKII antibody. |
![]() |
Western blot analysis of CaMKII in SH-SY5Y, rat Brain, 3T3 and mouse Spleen lysates using CaMKII antibody. |
![]() |
Immunofluorescent analysis of CaMKII in PC-12 using CaMKII antibody. |
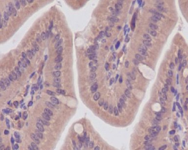
![]() |
Immunohistochemistry analysis of paraffin-embedded mouse colon, using CaMKII antibody. High-pressure and temperature Sodium Citrate pH 6.0 was used for antigen retrieval. |
本公司的所有产品仅用于科学研究或者工业应用等非医疗目的,不可用于人类或动物的临床诊断或治疗,非药用,非食用。
暂无评论
本公司的所有产品仅用于科学研究或者工业应用等非医疗目的,不可用于人类或动物的临床诊断或治疗,非药用,非食用。
中文




发表回复