别名:CAP; CAP1-PEN应用:WB,IHC,ICC,IP
反应种属:Human
规格:50μl/100μl
| Description |
|---|
| Directly regulates filament dynamics and has been implicated in a number of complex developmental and morphological processes, including mRNA localization and the establishment of cell polarity. |
| Specification | |
|---|---|
| Aliases | CAP; CAP1-PEN |
| Entrez GeneID | 10487 |
| Swissprot | Q01518 |
| WB Predicted band size | Calculated MW: 52 kDa; Observed MW: 56 kDa |
| Host/Isotype | Rabbit IgG |
| Storage | Store at 4°C short term. Aliquot and store at -20°C long term. Avoid freeze/thaw cycles. |
| Species Reactivity | Human |
| Immunogen | A synthetic peptide of human CAP1 |
| Formulation | 50mM Tris-Glycine(pH 7.4), 0.15M NaCl, 40% Glycerol, 0.01% Sodium azide and 0.05% BSA |
| Application | |
|---|---|
| IP | 1/20 |
| WB | 1/500-1/1000 |
| IHC | 1/50-1/100 |
| ICC | 1/50-1/200 |
![]() |
Western blot analysis of CAP1 in 293T, MCF-7 lysates using CAP1 antibody. |
![]() |
Immunocytochemistry analysis of CAP1(green) in Hela using CAP1 antibody,and DAPI(blue) |
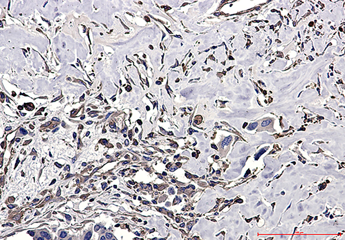
![]() |
Immunohistochemistry analysis of paraffin-embedded Human Cholangiocarcinoma using CAP1 antibody. High-pressure and temperature Sodium Citrate pH 6.0 was used for antigen retrieval. |
本公司的所有产品仅用于科学研究或者工业应用等非医疗目的,不可用于人类或动物的临床诊断或治疗,非药用,非食用。
暂无评论
本公司的所有产品仅用于科学研究或者工业应用等非医疗目的,不可用于人类或动物的临床诊断或治疗,非药用,非食用。
中文



发表回复