别名:VRNI; ADNIV; HTRA3; nCL-3应用:WB,IHC
反应种属:Human, Mouse, Rat
规格:50μl/100μl
| Description |
|---|
| Calpains are calcium-dependent cysteine proteases involved in signal transduction in a variety of cellular processes. A functional calpain protein consists of an invariant small subunit and 1 of a family of large subunits. CAPN5 is one of the large subunits. Unlike some of the calpains, CAPN5 and CAPN6 lack a calmodulin-like domain IV. Because of the significant similarity to Caenorhabditis elegans sex determination gene tra-3, CAPN5 is also called as HTRA3. |
| Specification | |
|---|---|
| Aliases | VRNI; ADNIV; HTRA3; nCL-3 |
| Swissprot | O15484 |
| WB Predicted band size | 73 kDa |
| Host/Isotype | Rabbit IgG |
| Storage | Store at 4°C short term. Aliquot and store at -20°C long term. Avoid freeze/thaw cycles. |
| Species Reactivity | Human, Mouse, Rat |
| Immunogen | Fusion protein of human CAPN5 |
| Formulation | pH7.4 PBS, 0.05% NaN3, 40% Glycerol |
| Application | |
|---|---|
| WB | 1/500-1/2000 |
| IHC | 1/50-1/200 |
| ELISA | 1/5000-1/10000 |
![]() |
Gel: 8%SDS-PAGE, Lysate: 40 μg, Lane 1-2: A431 and SKOV3 cell lysates, Primary antibody: P07144(CAPN5 Antibody) at dilution 1/400, Secondary antibody: Goat anti rabbit IgG at 1/5000 dilution, Exposure time: 20 seconds |
![]() |
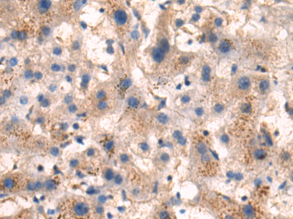
The image is immunohistochemistry of paraffin-embedded Human liver cancer tissue using P07144(CAPN5 Antibody) at dilution 1/50. (Original magnification: ×200) |
本公司的所有产品仅用于科学研究或者工业应用等非医疗目的,不可用于人类或动物的临床诊断或治疗,非药用,非食用。
暂无评论
本公司的所有产品仅用于科学研究或者工业应用等非医疗目的,不可用于人类或动物的临床诊断或治疗,非药用,非食用。
中文


发表回复