别名:30K, CANP, CDPS, CSS1, CANPS, CAPN4, CALPAIN4应用:WB,IHC
反应种属:Human, Mouse, Rat
规格:50μl/100μl
| Description |
|---|
| Calpains are a ubiquitous, well-conserved family of calcium-dependent, cysteine proteases. Calpain families have been implicated in neurodegenerative processes, as their activation can be triggered by calcium influx and oxidative stress. Calpain I and II are heterodimeric with distinct large subunits associated with common small subunits, all of which are encoded by different genes. This gene encodes a small subunit common to both calpain I and II and is associated with myotonic dystrophy. Two transcript variants encoding the same protein have been identified for this gene. |
| Specification | |
|---|---|
| Aliases | 30K, CANP, CDPS, CSS1, CANPS, CAPN4, CALPAIN4 |
| Swissprot | P04632 |
| WB Predicted band size | 28 kDa |
| Host/Isotype | Rabbit IgG |
| Storage | Store at 4°C short term. Aliquot and store at -20°C long term. Avoid freeze/thaw cycles. |
| Species Reactivity | Human, Mouse, Rat |
| Immunogen | Fusion protein of human CAPNS1 |
| Formulation | pH7.4 PBS, 0.05% NaN3, 40% Glycerol |
| Application | |
|---|---|
| WB | 1/500-1/2000 |
| IHC | 1/50-1/200 |
| ELISA | 1/1000-1/5000 |
![]() |
Gel: 12%SDS-PAGE, Lysate: 60 μg, Lane 1-2: K562 cells, NIH/3T3 cells, Primary antibody: P07142(CAPNS1 Antibody) at dilution 1/800, Secondary antibody: Goat anti rabbit IgG at 1/8000 dilution, Exposure time: 15 seconds |
![]() |
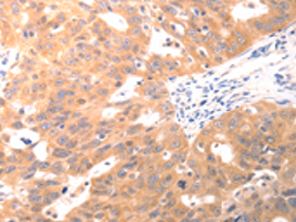
The image is immunohistochemistry of paraffin-embedded Human ovarian cancer tissue using P07142(CAPNS1 Antibody) at dilution 1/60. (Original magnification: ×200) |
![]() |
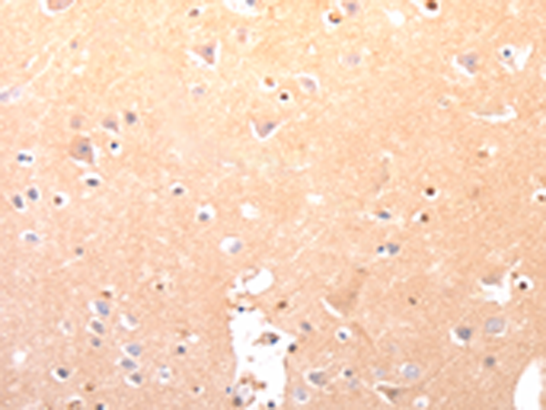
The image is immunohistochemistry of paraffin-embedded Human brain tissue using P07142(CAPNS1 Antibody) at dilution 1/60. (Original magnification: ×200) |
本公司的所有产品仅用于科学研究或者工业应用等非医疗目的,不可用于人类或动物的临床诊断或治疗,非药用,非食用。
暂无评论
本公司的所有产品仅用于科学研究或者工业应用等非医疗目的,不可用于人类或动物的临床诊断或治疗,非药用,非食用。
中文



发表回复