别名:COP; COP1; PSEUDO-ICE应用:WB,IHC
反应种属:Human
规格:50μl/100μl
| Description |
|---|
| Caspase inhibitor. Acts as a regulator of procaspase-1/CASP1 activation implicated in the regulation of the proteolytic maturation of pro-interleukin-1 beta (IL1B) and its release during inflammation. Inhibits the release of IL1B in response to LPS in monocytes. Also induces NF-kappa-B activation during the pro-inflammatory cytokine response. Also able to inhibit CASP1-mediated neuronal cell death, TNF-alpha, hypoxia-, UV-, and staurosporine-mediated cell death but not ER stress-mediated cell death. Acts by preventing activation of caspases CASP1 and CASP4, possibly by preventing the interaction between CASP1 and RIPK2. |
| Specification | |
|---|---|
| Aliases | COP; COP1; PSEUDO-ICE |
| Swissprot | Q5EG05 |
| WB Predicted band size | 23 kDa |
| Host/Isotype | Rabbit IgG |
| Storage | Store at 4°C short term. Aliquot and store at -20°C long term. Avoid freeze/thaw cycles. |
| Species Reactivity | Human |
| Immunogen | Synthetic peptide of human CARD16 |
| Formulation | pH7.4 PBS, 0.05% NaN3, 40% Glycerol |
| Application | |
|---|---|
| WB | 1/200-1/1000 |
| IHC | 1/25-1/100 |
| ELISA | 1/5000-1/10000 |
![]() |
Gel: 12%SDS-PAGE, Lysate: 40 μg, Lane: HEPG2 cell lysate, Primary antibody: P13108(CARD16 Antibody) at dilution 1/400, Secondary antibody: Goat anti rabbit IgG at 1/8000 dilution, Exposure time: 60 seconds |
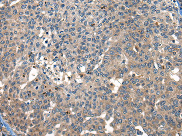
![]() |
The image is immunohistochemistry of paraffin-embedded Human liver cancer tissue using P13108(CARD16 Antibody) at dilution 1/25. (Original magnification: ×200) |
![]() |
The image is immunohistochemistry of paraffin-embedded Human ovarian cancer tissue using P13108(CARD16 Antibody) at dilution 1/25. (Original magnification: ×200) |
本公司的所有产品仅用于科学研究或者工业应用等非医疗目的,不可用于人类或动物的临床诊断或治疗,非药用,非食用。
暂无评论
本公司的所有产品仅用于科学研究或者工业应用等非医疗目的,不可用于人类或动物的临床诊断或治疗,非药用,非食用。
中文



发表回复