别名:Caspase-2, CASP-2, Neural precursor cell expressed developmentally down-regulated protein 2, NEDD-2, Protease ICH-1, Caspase-2 subunit p18, Caspase-2 subunit p13, Caspase-2 subunit p12, CASP2, ICH1, NEDD2应用:WB,IHC,FCM
反应种属:Human
规格:50μl/100μl
| Description |
|---|
| CASP2 is a protein which is a member of the cysteine-aspartic acid protease (caspase) family. Sequential activation of caspases plays a central role in the execution-phase of cell apoptosis. The protein exist as inactive proenzymes which undergo proteolytic processing at conserved aspartic residues to produce two subunits, large and small, that dimerize to form the active enzyme. The proteolytic cleavage of this protein is induced by a variety of apoptotic stimuli. |
| Specification | |
|---|---|
| Aliases | Caspase-2, CASP-2, Neural precursor cell expressed developmentally down-regulated protein 2, NEDD-2, Protease ICH-1, Caspase-2 subunit p18, Caspase-2 subunit p13, Caspase-2 subunit p12, CASP2, ICH1, NEDD2 |
| Entrez GeneID | 835 |
| Swissprot | P42575 |
| WB Predicted band size | 50.7kDa |
| Host/Isotype | Rabbit IgG |
| Storage | Store at 4°C short term. Aliquot and store at -20°C long term. Avoid freeze/thaw cycles. |
| Species Reactivity | Human |
| Immunogen | This CASP2 antibody is generated from rabbits immunized with a KLH conjugated synthetic peptide between 198-226 amino acids from the Central region of human CASP2. |
| Formulation | Purified polyclonal antibody supplied in PBS with 0.05% sodium azide. This antibody is prepared by Saturated Ammonium Sulfate (SAS) precipitation followed by dialysis against PBS. |
| Application | |
|---|---|
| WB | 1/1000 |
| IHC | 1/100-1/500 |
| FCM | 1/10-1/50 |
![]() |
Western blot analysis of CASP2 antibody (Center) (Cat. #P30360) in HL60, K562, Ramos and NIH-3T3 cell line lysates(35ug/lane). CASP2 (arrow) was detected using the purified Pab. |
![]() |
CASP2 Antibody (Center) (Cat. #P30360) flow cytometric analysis of HL60 cells (bottom histogram) compared to a negative control cell (top histogram).FITC-conjugated goat-anti-rabbit secondary antibodies were used for the analysis. |
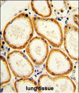
![]() |
Formalin-fixed and paraffin-embedded human lung with CASP2 Antibody (Center), which was peroxidase-conjugated to the secondary antibody, followed by DAB staining. This data demonstrates the use of this antibody for immunohistochemistry; clinical relevance has not been evaluated. |
本公司的所有产品仅用于科学研究或者工业应用等非医疗目的,不可用于人类或动物的临床诊断或治疗,非药用,非食用。
暂无评论
本公司的所有产品仅用于科学研究或者工业应用等非医疗目的,不可用于人类或动物的临床诊断或治疗,非药用,非食用。
中文



发表回复