别名:TX; Mih1; ICH-2; Mih1/TX; ICEREL-II; ICE(rel)II应用:IHC
反应种属:Human
规格:50μl/100μl
| Description |
|---|
| This gene encodes a protein that is a member of the cysteine-aspartic acid protease (caspase) family. Sequential activation of caspases plays a central role in the execution-phase of cell apoptosis. Caspases exist as inactive proenzymes composed of a prodomain and a large and small protease subunit. Activation of caspases requires proteolytic processing at conserved internal aspartic residues to generate a heterodimeric enzyme consisting of the large and small subunits. This caspase is able to cleave and activate its own precursor protein, as well as caspase 1 precursor. When overexpressed, this gene induces cell apoptosis. Alternative splicing results in transcript variants encoding distinct isoforms. |
| Specification | |
|---|---|
| Aliases | TX; Mih1; ICH-2; Mih1/TX; ICEREL-II; ICE(rel)II |
| Swissprot | P49662 |
| Host/Isotype | Rabbit IgG |
| Storage | Store at 4°C short term. Aliquot and store at -20°C long term. Avoid freeze/thaw cycles. |
| Species Reactivity | Human |
| Immunogen | Synthetic peptide of human CASP4 |
| Formulation | pH7.4 PBS, 0.05% NaN3, 40% Glycerol |
| Application | |
|---|---|
| IHC | 1/25-1/100 |
| ELISA | 1/5000-1/10000 |
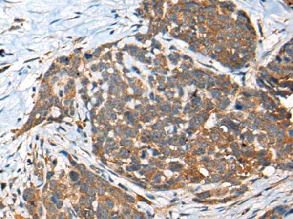
![]() |
The image is immunohistochemistry of paraffin-embedded Human liver cancer tissue using P12853(CASP4 Antibody) at dilution 1/25. (Original magnification: ×200) |
![]() |
The image is immunohistochemistry of paraffin-embedded Human thyroid cancer tissue using P12853(CASP4 Antibody) at dilution 1/25. (Original magnification: ×200) |
本公司的所有产品仅用于科学研究或者工业应用等非医疗目的,不可用于人类或动物的临床诊断或治疗,非药用,非食用。
暂无评论
本公司的所有产品仅用于科学研究或者工业应用等非医疗目的,不可用于人类或动物的临床诊断或治疗,非药用,非食用。
中文


发表回复