别名:CED-4; FLASH; RIP25应用:WB,IHC
反应种属:Human, Mouse
规格:50μl/100μl
| Description |
|---|
| This protein is highly similar to FLASH, a mouse apoptotic protein identified by its interaction with the death-effector domain (DED) of caspase 8. Studies of FLASH protein suggested that this protein may be a component of the death-inducing signaling complex that includes Fas receptor, Fas-binding adapter FADD, and caspase 8, and plays a regulatory role in Fas-mediated apoptosis. Alternative splicing results in multiple transcript variants encoding the same protein. |
| Specification | |
|---|---|
| Aliases | CED-4; FLASH; RIP25 |
| Swissprot | Q9UKL3 |
| WB Predicted band size | 223 kDa |
| Host/Isotype | Rabbit IgG |
| Storage | Store at 4°C short term. Aliquot and store at -20°C long term. Avoid freeze/thaw cycles. |
| Species Reactivity | Human, Mouse |
| Immunogen | Synthetic peptide of human CASP8AP2 |
| Formulation | pH7.4 PBS, 0.05% NaN3, 40% Glycerol |
| Application | |
|---|---|
| WB | 1/200-1/1000 |
| IHC | 1/25-1/100 |
| ELISA | 1/1000-1/2000 |
![]() |
Gel: 6%SDS-PAGE, Lysate: 40 μg, Lane: Hela cells, Primary antibody: P04880(CASP8AP2 Antibody) at dilution 1/250, Secondary antibody: Goat anti rabbit IgG at 1/8000 dilution, Exposure time: 2 minutes |
![]() |
The image is immunohistochemistry of paraffin-embedded Human brain tissue using P04880(CASP8AP2 Antibody) at dilution 1/20. (Original magnification: ×200) |
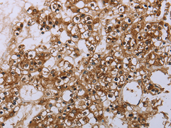
![]() |
The image is immunohistochemistry of paraffin-embedded Human prostate cancer tissue using P04880(CASP8AP2 Antibody) at dilution 1/20. (Original magnification: ×200) |
本公司的所有产品仅用于科学研究或者工业应用等非医疗目的,不可用于人类或动物的临床诊断或治疗,非药用,非食用。
暂无评论
本公司的所有产品仅用于科学研究或者工业应用等非医疗目的,不可用于人类或动物的临床诊断或治疗,非药用,非食用。
中文



发表回复