别名:MCH6; APAF3; APAF-3; PPP1R56; ICE-LAP6; CASPASE-9c应用:IHC
反应种属:Human, Mouse
规格:50μl/100μl
| Description |
|---|
| This gene encodes a member of the cysteine-aspartic acid protease (caspase) family. Sequential activation of caspases plays a central role in the execution-phase of cell apoptosis. Caspases exist as inactive proenzymes which undergo proteolytic processing at conserved aspartic residues to produce two subunits, large and small, that dimerize to form the active enzyme. This protein is processed by caspase APAF1; this step is thought to be one of the earliest in the caspase activation cascade. Alternative splicing results in two transcript variants which encode different isoforms. |
| Specification | |
|---|---|
| Aliases | MCH6; APAF3; APAF-3; PPP1R56; ICE-LAP6; CASPASE-9c |
| Swissprot | P55211 |
| Host/Isotype | Rabbit IgG |
| Storage | Store at 4°C short term. Aliquot and store at -20°C long term. Avoid freeze/thaw cycles. |
| Species Reactivity | Human, Mouse |
| Immunogen | Synthetic peptide of human CASP9 (active) |
| Formulation | pH7.4 PBS, 0.05% NaN3, 40% Glycerol |
| Application | |
|---|---|
| IHC | 1/100-1/300 |
| ELISA | 1/2000-1/10000 |
![]() |
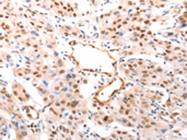
The image is immunohistochemistry of paraffin-embedded Human colon cancer tissue using P04531(CASP9 (active) Antibody) at dilution 1/80. (Original magnification: ×200) |
![]() |
The image is immunohistochemistry of paraffin-embedded Human lung cancer tissue using P04531(CASP9 (active) Antibody) at dilution 1/80. (Original magnification: ×200) |
本公司的所有产品仅用于科学研究或者工业应用等非医疗目的,不可用于人类或动物的临床诊断或治疗,非药用,非食用。
暂无评论
本公司的所有产品仅用于科学研究或者工业应用等非医疗目的,不可用于人类或动物的临床诊断或治疗,非药用,非食用。
中文


发表回复