别名:Cathepsin B, APP secretase, APPS, Cathepsin B1, Cathepsin B light chain, Cathepsin B heavy chain, CTSB, CPSB应用:WB,IHC,FCM
反应种属:Human
规格:50μl/100μl
| Description |
|---|
| The protein CATB is a lysosomal cysteine proteinase composed of a dimer of disulfide-linked heavy and light chains, both produced from a single protein precursor. It is also known as amyloid precursor protein secretase and is involved in the proteolytic processing of amyloid precursor protein (APP). Incomplete proteolytic processing of APP has been suggested to be a causative factor in Alzheimer disease, the most common cause of dementia. Overexpression of the protein, which is a member of the peptidase C1 family, has been associated with esophageal adenocarcinoma and other tumors. |
| Specification | |
|---|---|
| Aliases | Cathepsin B, APP secretase, APPS, Cathepsin B1, Cathepsin B light chain, Cathepsin B heavy chain, CTSB, CPSB |
| Entrez GeneID | 1508 |
| Swissprot | P07858 |
| WB Predicted band size | 37.8kDa |
| Host/Isotype | Rabbit IgG |
| Storage | Store at 4°C short term. Aliquot and store at -20°C long term. Avoid freeze/thaw cycles. |
| Species Reactivity | Human |
| Immunogen | This CATB antibody is generated from rabbits immunized with a KLH conjugated synthetic peptide between 198-227 amino acids from the Central region of human CATB. |
| Formulation | Purified polyclonal antibody supplied in PBS with 0.05% sodium azide. This antibody is purified through a protein A column, followed by peptide affinity purification. |
| Application | |
|---|---|
| WB | 1/1000 |
| IHC | 1/100-1/500 |
| FCM | 1/10-1/50 |
![]() |
Western blot analysis of CATB Antibody (Center) (Cat.# P30372) in Y79 cell line lysates (35ug/lane). CATB (arrow) was detected using the purified Pab. |
![]() |
Flow cytometric analysis of HepG2 cells using CATB Antibody (Center)(bottom histogram) compared to a negative control cell (top histogram). FITC-conjugated goat-anti-rabbit secondary antibodies were used for the analysis. |
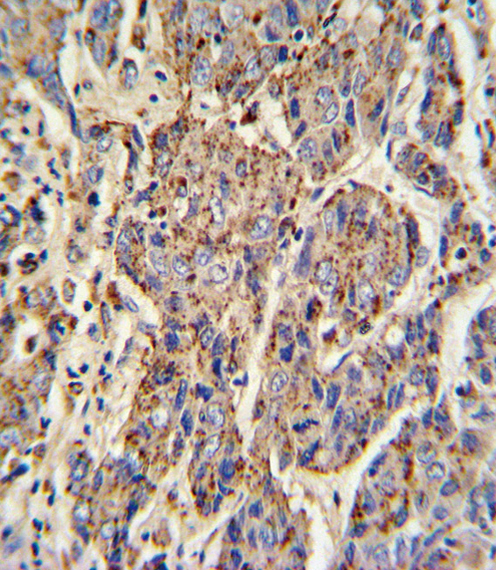
![]() |
Formalin-fixed and paraffin-embedded human hepatocarcinoma with CATB Antibody (Center), which was peroxidase-conjugated to the secondary antibody, followed by DAB staining. This data demonstrates the use of this antibody for immunohistochemistry; clinical relevance has not been evaluated. |
本公司的所有产品仅用于科学研究或者工业应用等非医疗目的,不可用于人类或动物的临床诊断或治疗,非药用,非食用。
暂无评论
本公司的所有产品仅用于科学研究或者工业应用等非医疗目的,不可用于人类或动物的临床诊断或治疗,非药用,非食用。
中文



发表回复