别名:CAV1; CAV; Caveolin-1应用:WB,IHC,ICC
反应种属:Human
规格:50μl/100μl
| Description |
|---|
| Caveolin-1 may act as a scaffolding protein within caveolar membranes. Interacts directly with G-protein alpha subunits and can functionally regulate their activity (By similarity). Involved in the costimulatory signal essential for T-cell receptor (TCR)-mediated T-cell activation. Its binding to DPP4 induces T-cell proliferation and NF-kappa-B activation in a T-cell receptor/CD3-dependent manner. Recruits CTNNB1 to caveolar membranes and may regulate CTNNB1-mediated signaling through the Wnt pathway. |
| Specification | |
|---|---|
| Aliases | CAV1; CAV; Caveolin-1 |
| Entrez GeneID | 857 |
| Swissprot | Q03135 |
| WB Predicted band size | Calculated MW: 20 kDa; Observed MW: 25 kDa |
| Host/Isotype | Rabbit IgG |
| Storage | Store at 4°C short term. Aliquot and store at -20°C long term. Avoid freeze/thaw cycles. |
| Species Reactivity | Human |
| Immunogen | A synthesized peptide derived from human Caveolin-1 |
| Formulation | Rabbit IgG in phosphate buffered saline , pH 7.4, 150mM NaCl, 0.02% sodium azide and 50% glycerol. |
| Application | |
|---|---|
| WB | 1/500-1/1000 |
| IHC | 1/50-1/100 |
| ICC | 1/50-1/200 |
![]() |
Western blot analysis of Caveolin1 in A431 lysates using Caveolin 1 antibody. |
![]() |
Immunofluorescence analysis of Caveolin 1 in A431 using Caveolin1 antibody. |
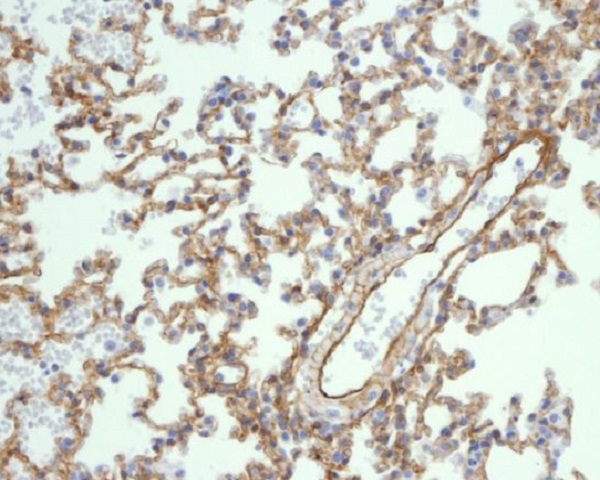
![]() |
Immunohistochemistry analysis of paraffin-embedded mouse lung using Caveolin1 antibody.High-pressure and temperature Sodium Citrate pH 6.0 was used for antigen retrieval. |
本公司的所有产品仅用于科学研究或者工业应用等非医疗目的,不可用于人类或动物的临床诊断或治疗,非药用,非食用。
暂无评论
本公司的所有产品仅用于科学研究或者工业应用等非医疗目的,不可用于人类或动物的临床诊断或治疗,非药用,非食用。
中文



发表回复