别名:HECH; HP1-GAMMA; HP1Hs-gamma应用:WB,IHC
反应种属:Human, Mouse
规格:50μl/100μl
| Description |
|---|
| At the nuclear envelope, the nuclear lamina and heterochromatin are adjacent to the inner nuclear membrane. The protein encoded by this gene binds DNA and is a component of heterochromatin. This protein also can bind lamin B receptor, an integral membrane protein found in the inner nuclear membrane. The dual binding functions of the encoded protein may explain the association of heterochromatin with the inner nuclear membrane. This protein binds histone H3 tails methylated at Lys-9 sites. This protein is also recruited to sites of ultraviolet-induced DNA damage and double-strand breaks. |
| Specification | |
|---|---|
| Aliases | HECH; HP1-GAMMA; HP1Hs-gamma |
| Swissprot | Q13185 |
| WB Predicted band size | 21 kDa |
| Host/Isotype | Rabbit IgG |
| Storage | Store at 4°C short term. Aliquot and store at -20°C long term. Avoid freeze/thaw cycles. |
| Species Reactivity | Human, Mouse |
| Immunogen | Synthetic peptide of human CBX3 |
| Formulation | pH7.4 PBS, 0.05% NaN3, 40% Glycerol |
| Application | |
|---|---|
| WB | 1/500-1/2000 |
| IHC | 1/50-1/200 |
| ELISA | 1/2000-1/5000 |
![]() |
Gel: 10%SDS-PAGE, Lysate: 40 μg, Lane 1-3: A375 cells, Raji cells, human fetal brain tissue, Primary antibody: P04037(CBX3 Antibody) at dilution 1/600, Secondary antibody: Goat anti rabbit IgG at 1/8000 dilution, Exposure time: 1 second |
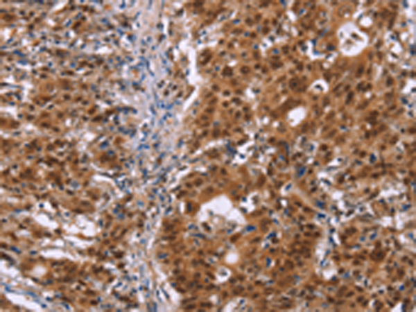
![]() |
The image is immunohistochemistry of paraffin-embedded Human gasrtic cancer tissue using P04037(CBX3 Antibody) at dilution 1/40. (Original magnification: ×200) |
![]() |
The image is immunohistochemistry of paraffin-embedded Human brain tissue using P04037(CBX3 Antibody) at dilution 1/40. (Original magnification: ×200) |
本公司的所有产品仅用于科学研究或者工业应用等非医疗目的,不可用于人类或动物的临床诊断或治疗,非药用,非食用。
暂无评论
本公司的所有产品仅用于科学研究或者工业应用等非医疗目的,不可用于人类或动物的临床诊断或治疗,非药用,非食用。
中文



发表回复