别名:Deleted in autism protein 1, Golgi Protein of 49 kDa, GoPro49, Hypoxia and AKT-induced stem cell factor, HASF, C3orf58, DIA1应用:WB,IHC
反应种属:Human, Mouse
规格:50μl/100μl
| Specification | |
|---|---|
| Aliases | Deleted in autism protein 1, Golgi Protein of 49 kDa, GoPro49, Hypoxia and AKT-induced stem cell factor, HASF, C3orf58, DIA1 |
| Entrez GeneID | 205428 |
| Swissprot | Q8NDZ4 |
| WB Predicted band size | 49.5kDa |
| Host/Isotype | Rabbit IgG |
| Storage | Store at 4°C short term. Aliquot and store at -20°C long term. Avoid freeze/thaw cycles. |
| Species Reactivity | Human, Mouse |
| Immunogen | This CC058 antibody is generated from rabbits immunized with a KLH conjugated synthetic peptide between 159-188 amino acids from the Central region of human CC058. |
| Formulation | Purified polyclonal antibody supplied in PBS with 0.05% sodium azide. This antibody is purified through a protein A column, followed by peptide affinity purification. |
| Application | |
|---|---|
| WB | 1/1000 |
| IHC | 1/100-1/500 |
![]() |
Western blot analysis of CC058 Antibody (Center) (Cat. #P30588) in mouse cerebellum tissue lysates (35ug/lane). CC058 (arrow) was detected using the purified Pab. |
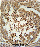
![]() |
CC058 Antibody (Center) (Cat. #P30588) immunohistochemistry analysis in formalin fixed and paraffin embedded human testis tissue followed by peroxidase conjugation of the secondary antibody and DAB staining. This data demonstrates the use of the CC058 Antibody (Center) for immunohistochemistry. Clinical relevance has not been evaluated. |
本公司的所有产品仅用于科学研究或者工业应用等非医疗目的,不可用于人类或动物的临床诊断或治疗,非药用,非食用。
暂无评论
本公司的所有产品仅用于科学研究或者工业应用等非医疗目的,不可用于人类或动物的临床诊断或治疗,非药用,非食用。
中文


发表回复