别名:DBC1; DBC-1; NET35; p30DBC; p30 DBC; KIAA1967应用:IHC
反应种属:Human, Mouse
规格:50μl/100μl
| Description |
|---|
| Core component of the DBIRD complex, a multiprotein complex that acts at the interface between core mRNP particles and RNA polymerase II (RNAPII) and integrates transcript elongation with the regulation of alternative splicing: the DBIRD complex affects local transcript elongation rates and alternative splicing of a large set of exons embedded in (A + T)-rich DNA regions. Inhibits SIRT1 deacetylase activity leading to increasing levels of p53/TP53 acetylation and p53-mediated apoptosis. Inhibits SUV39H1 methyltransferase activity. As part of a histone H3-specific methyltransferase complex may mediate ligand-dependent transcriptional activation by nuclear hormone receptors. Plays a critical role in maintaining genomic stability and cellular integrity following UV-induced genotoxic stress. Regulates the circadian expression of the core clock components NR1D1 and ARNTL/BMAL1. Enhances the transcriptional repressor activity of NR1D1 through stabilization of NR1D1 protein levels by preventing its ubiquitination and subsequent degradation (PubMed:18235501, PubMed:18235502, PubMed:19131338, PubMed:19218236, PubMed:22446626, PubMed:23352644, PubMed:23398316). Represses the ligand-dependent transcriptional activation function of ESR2 (PubMed:20074560). Acts as a regulator of PCK1 expression and gluconeogenesis by a mechanism that involves, at least in part, both NR1D1 and SIRT1 (PubMed:24415752). Negatively regulates the deacetylase activity of HDAC3 and can alter its subcellular localization (PubMed:21030595). Positively regulates the beta-catenin pathway (canonical Wnt signaling pathway) and is required for MCC-mediated repression of the beta-catenin pathway (PubMed:24824780). Represses ligand-dependent transcriptional activation function of NR1H2 and NR1H3 and inhibits the interaction of SIRT1 with NR1H3 (PubMed:25661920). Plays an important role in tumor suppression through p53/TP53 regulation; stabilizes p53/TP53 by affecting its interaction with ubiquitin ligase MDM2 (PubMed:25732823). Represses the transcriptional activator activity of BRCA1 (PubMed:20160719). Inhibits SIRT1 in a CHEK2 and PSEM3-dependent manner and inhibits the activity of CHEK2 in vitro (PubMed:25361978). |
| Specification | |
|---|---|
| Aliases | DBC1; DBC-1; NET35; p30DBC; p30 DBC; KIAA1967 |
| Swissprot | Q8N163 |
| Host/Isotype | Rabbit IgG |
| Storage | Store at 4°C short term. Aliquot and store at -20°C long term. Avoid freeze/thaw cycles. |
| Species Reactivity | Human, Mouse |
| Immunogen | Synthetic peptide of human CCAR2 |
| Formulation | pH7.4 PBS, 0.05% NaN3, 40% Glycerol |
| Application | |
|---|---|
| IHC | 1/50-1/100 |
| ELISA | 1/5000-1/10000 |
![]() |
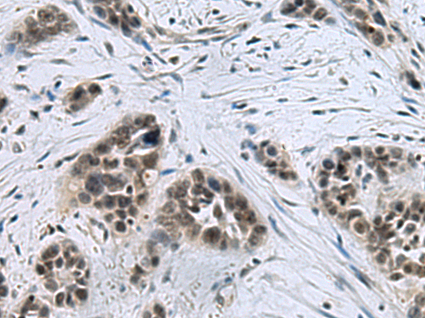
The image is immunohistochemistry of paraffin-embedded Human prostate cancer tissue using P13710(CCAR2 Antibody) at dilution 1/40. (Original magnification: ×200) |
![]() |
The image is immunohistochemistry of paraffin-embedded Human thyroid cancer tissue using P13710(CCAR2 Antibody) at dilution 1/40. (Original magnification: ×200) |
本公司的所有产品仅用于科学研究或者工业应用等非医疗目的,不可用于人类或动物的临床诊断或治疗,非药用,非食用。
暂无评论
本公司的所有产品仅用于科学研究或者工业应用等非医疗目的,不可用于人类或动物的临床诊断或治疗,非药用,非食用。
中文


发表回复