别名:LEC; LMC; NCC4; CKb12; HCC-4; LCC-1; Mtn-1; NCC-4; SCYL4; ILINCK; SCYA16应用:WB,IHC
反应种属:Human
规格:50μl/100μl
| Description |
|---|
| This gene is one of several cytokine genes clustered on the q-arm of chromosome 17. Cytokines are a family of secreted proteins involved in immunoregulatory and inflammatory processes. The CC cytokines are proteins characterized by two adjacent cysteines. The cytokine encoded by this gene displays chemotactic activity for lymphocytes and monocytes but not for neutrophils. This cytokine also shows a potent myelosuppressive activity and suppresses proliferation of myeloid progenitor cells. The expression of this gene is upregulated by IL-10. |
| Specification | |
|---|---|
| Aliases | LEC; LMC; NCC4; CKb12; HCC-4; LCC-1; Mtn-1; NCC-4; SCYL4; ILINCK; SCYA16 |
| Swissprot | O15467 |
| WB Predicted band size | 14 kDa |
| Host/Isotype | Rabbit IgG |
| Storage | Store at 4°C short term. Aliquot and store at -20°C long term. Avoid freeze/thaw cycles. |
| Species Reactivity | Human |
| Immunogen | Synthetic peptide of human CCL16 |
| Formulation | pH7.4 PBS, 0.05% NaN3, 40% Glycerol |
| Application | |
|---|---|
| WB | 1/500-1/2000 |
| IHC | 1/50-1/200 |
| ELISA | 1/2000-1/5000 |
![]() |
Gel: 15%SDS-PAGE, Lysate: 40 μg, Lane: HepG2 cells, Primary antibody: P11628(CCL16 Antibody) at dilution 1/760, Secondary antibody: Goat anti rabbit IgG at 1/8000 dilution, Exposure time: 3 seconds |
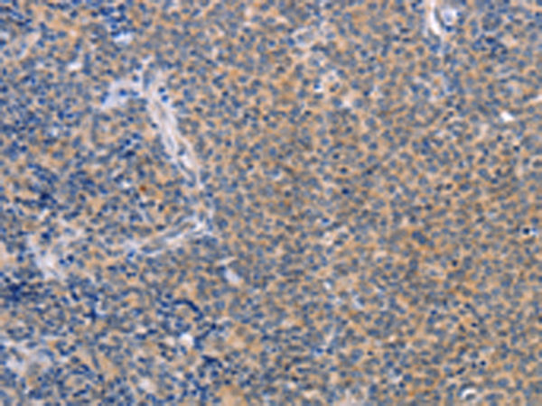
![]() |
The image is immunohistochemistry of paraffin-embedded Human Lymphoma tissue using P11628(CCL16 Antibody) at dilution 1/50. (Original magnification: ×200) |
![]() |
The image is immunohistochemistry of paraffin-embedded Human brain tissue using P11628(CCL16 Antibody) at dilution 1/50. (Original magnification: ×200) |
本公司的所有产品仅用于科学研究或者工业应用等非医疗目的,不可用于人类或动物的临床诊断或治疗,非药用,非食用。
暂无评论
本公司的所有产品仅用于科学研究或者工业应用等非医疗目的,不可用于人类或动物的临床诊断或治疗,非药用,非食用。
中文



发表回复