别名:ACT2; G-26; HC21; LAG1; LAG-1; MIP1B; SCYA2; SCYA4; MIP1B1; AT744.1; MIP-1-beta应用:IHC
反应种属:Human, Rat
规格:50μl/100μl
| Description |
|---|
| The protein encoded by this gene is a mitogen-inducible monokine and is one of the major HIV-suppressive factors produced by CD8+ T-cells. The encoded protein is secreted and has chemokinetic and inflammatory functions. Recombinant MIP-1-beta induces a dose-dependent inhibition of different strains of HIV-1, HIV-2, and simian immunodeficiency virus (SIV). The processed form MIP-1-beta(3-69) retains the abilities to induce down-modulation of surface expression of the chemokine receptor CCR5 and to inhibit the CCR5-mediated entry of HIV-1 in T-cells. MIP-1-beta(3-69) is also a ligand for CCR1 and CCR2 isoform B. |
| Specification | |
|---|---|
| Aliases | ACT2; G-26; HC21; LAG1; LAG-1; MIP1B; SCYA2; SCYA4; MIP1B1; AT744.1; MIP-1-beta |
| Swissprot | P13236 |
| Host/Isotype | Rabbit IgG |
| Storage | Store at 4°C short term. Aliquot and store at -20°C long term. Avoid freeze/thaw cycles. |
| Species Reactivity | Human, Rat |
| Immunogen | Fusion protein of human CCL4 |
| Formulation | pH7.4 PBS, 0.05% NaN3, 40% Glycerol |
| Application | |
|---|---|
| IHC | 1/50-1/200 |
| ELISA | 1/1000-1/5000 |
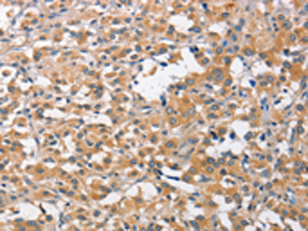
![]() |
The image is immunohistochemistry of paraffin-embedded Human liver cancer tissue using P07174(CCL4 Antibody) at dilution 1/40. (Original magnification: ×200) |
![]() |
The image is immunohistochemistry of paraffin-embedded Human thyroid cancer tissue using P07174(CCL4 Antibody) at dilution 1/40. (Original magnification: ×200) |
本公司的所有产品仅用于科学研究或者工业应用等非医疗目的,不可用于人类或动物的临床诊断或治疗,非药用,非食用。
暂无评论
本公司的所有产品仅用于科学研究或者工业应用等非医疗目的,不可用于人类或动物的临床诊断或治疗,非药用,非食用。
中文


发表回复