别名:FIC; MARC; MCP3; NC28; MCP-3; SCYA6; SCYA7应用:IHC
反应种属:Human
规格:50μl/100μl
| Description |
|---|
| This gene encodes monocyte chemotactic protein 3, a secreted chemokine which attracts macrophages during inflammation and metastasis. It is a member of the C-C subfamily of chemokines which are characterized by having two adjacent cysteine residues. The protein is an in vivo substrate of matrix metalloproteinase 2, an enzyme which degrades components of the extracellular matrix. This gene is part of a cluster of C-C chemokine family members on chromosome 17q. |
| Specification | |
|---|---|
| Aliases | FIC; MARC; MCP3; NC28; MCP-3; SCYA6; SCYA7 |
| Swissprot | P80098 |
| Host/Isotype | Rabbit IgG |
| Storage | Store at 4°C short term. Aliquot and store at -20°C long term. Avoid freeze/thaw cycles. |
| Species Reactivity | Human |
| Immunogen | Synthetic peptide of human CCL7 |
| Formulation | pH7.4 PBS, 0.05% NaN3, 40% Glycerol |
| Application | |
|---|---|
| IHC | 1/25-1/100 |
| ELISA | 1/2000-1/5000 |
![]() |
The image is immunohistochemistry of paraffin-embedded Human lung cancer tissue using P05599(CCL7 Antibody) at dilution 1/20. (Original magnification: ×200) |
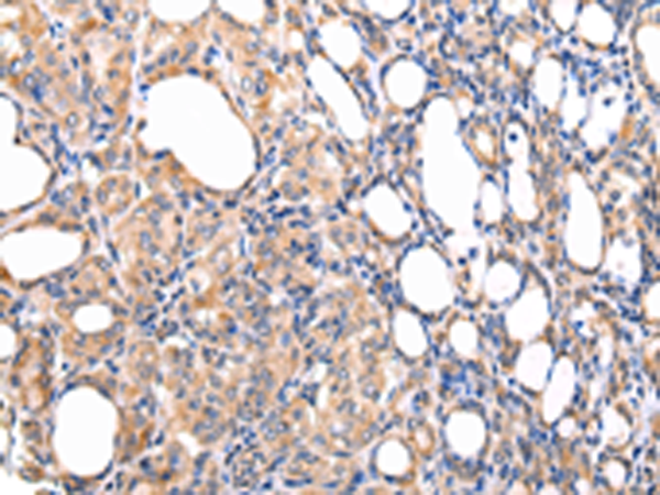
![]() |
The image is immunohistochemistry of paraffin-embedded Human thyroid cancer tissue using P05599(CCL7 Antibody) at dilution 1/20. (Original magnification: ×200) |
本公司的所有产品仅用于科学研究或者工业应用等非医疗目的,不可用于人类或动物的临床诊断或治疗,非药用,非食用。
暂无评论
本公司的所有产品仅用于科学研究或者工业应用等非医疗目的,不可用于人类或动物的临床诊断或治疗,非药用,非食用。
中文


发表回复