别名:bA690P14.1应用:IHC
反应种属:Human
规格:50μl/100μl
| Description |
|---|
| Cyclin J is a 372 amino acid protein encoded by the human gene CCNJ located on chromosome 10. Cyclin J belongs to the cyclin family and contains one cyclin N-terminal domain. A cyclin forms a complex with its partner cyclin-dependent kinase (Cdk), which activates the protein kinase function of the Cdk. Cyclins are so named because their concentration varies in a cyclical fashion during the cell cycle. They are produced or degraded as needed in order to drive the cell through the different stages of the cell cycle. When its concentrations in the cell are low, the cyclin detaches from the Cdk, inhibiting the activity of the enzyme, probably by causing a protein chain to block the enzymatic site. Cyclin J-associated kinase activity is required for the early embryonic division cycles. |
| Specification | |
|---|---|
| Aliases | bA690P14.1 |
| Swissprot | Q5T5M9 |
| Host/Isotype | Rabbit IgG |
| Storage | Store at 4°C short term. Aliquot and store at -20°C long term. Avoid freeze/thaw cycles. |
| Species Reactivity | Human |
| Immunogen | Fusion protein of human CCNJ |
| Formulation | pH7.4 PBS, 0.05% NaN3, 40% Glycerol |
| Application | |
|---|---|
| IHC | 1/25-1/100 |
| ELISA | 1/5000-1/10000 |
![]() |
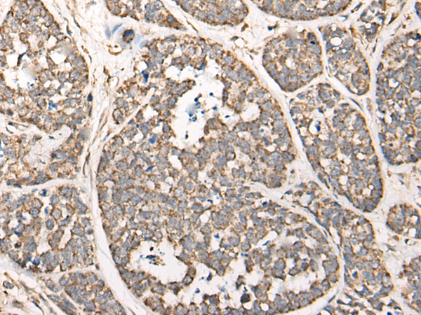
The image is immunohistochemistry of paraffin-embedded Human liver cancer tissue using P07235(CCNJ Antibody) at dilution 1/30. (Original magnification: ×200) |
![]() |
The image is immunohistochemistry of paraffin-embedded Human esophagus cancer tissue using P07235(CCNJ Antibody) at dilution 1/30. (Original magnification: ×200) |
本公司的所有产品仅用于科学研究或者工业应用等非医疗目的,不可用于人类或动物的临床诊断或治疗,非药用,非食用。
暂无评论
本公司的所有产品仅用于科学研究或者工业应用等非医疗目的,不可用于人类或动物的临床诊断或治疗,非药用,非食用。
中文


发表回复