别名:CCNX; CFP1; CBCP1; C10orf9应用:IHC
反应种属:Human, Mouse
规格:50μl/100μl
| Description |
|---|
| Cyclins, such as CCNY, control cell division cycles and regulate cyclin-dependent kinases (e.g., CDC2; MIM 116940) (Li et al., 2009 [PubMed 18060517]). |
| Specification | |
|---|---|
| Aliases | CCNX; CFP1; CBCP1; C10orf9 |
| Swissprot | Q8ND76 |
| Host/Isotype | Rabbit IgG |
| Storage | Store at 4°C short term. Aliquot and store at -20°C long term. Avoid freeze/thaw cycles. |
| Species Reactivity | Human, Mouse |
| Immunogen | Synthetic peptide of human CCNY |
| Formulation | pH7.4 PBS, 0.05% NaN3, 40% Glycerol |
| Application | |
|---|---|
| IHC | 1/25-1/100 |
| ELISA | 1/5000-1/10000 |
![]() |
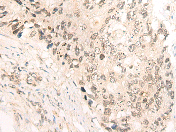
The image is immunohistochemistry of paraffin-embedded Human liver cancer tissue using P13222(CCNY Antibody) at dilution 1/35. (Original magnification: ×200) |
![]() |
The image is immunohistochemistry of paraffin-embedded Human colorectal cancer tissue using P13222(CCNY Antibody) at dilution 1/35. (Original magnification: ×200) |
本公司的所有产品仅用于科学研究或者工业应用等非医疗目的,不可用于人类或动物的临床诊断或治疗,非药用,非食用。
暂无评论
本公司的所有产品仅用于科学研究或者工业应用等非医疗目的,不可用于人类或动物的临床诊断或治疗,非药用,非食用。
中文


发表回复