别名:CP110; Cep110应用:IHC
反应种属:Human, Mouse
规格:50μl/100μl
| Description |
|---|
| Necessary for centrosome duplication at different stages of procentriole formation. Acts as a key negative regulator of ciliogenesis in collaboration with CEP97 by capping the mother centriole thereby preventing cilia formation (PubMed:17719545 PubMed:17681131, PubMed:23486064). Also involved in promoting ciliogenesis. May play a role in the assembly of the mother centriole subdistal appendages (SDA) thereby effecting the fusion of recycling endosomes to basal bodies during cilia formation (By similarity). Required for correct spindle formation and has a role in regulating cytokinesis and genome stability via cooperation with CALM1 and CETN2 (PubMed:16760425). |
| Specification | |
|---|---|
| Aliases | CP110; Cep110 |
| Swissprot | O43303 |
| Host/Isotype | Rabbit IgG |
| Storage | Store at 4°C short term. Aliquot and store at -20°C long term. Avoid freeze/thaw cycles. |
| Species Reactivity | Human, Mouse |
| Immunogen | Synthetic peptide of human CCP110 |
| Formulation | pH7.4 PBS, 0.05% NaN3, 40% Glycerol |
| Application | |
|---|---|
| IHC | 1/20-1/100 |
| ELISA | 1/5000-1/10000 |
![]() |
The image is immunohistochemistry of paraffin-embedded Human brain tissue using P13213(CCP110 Antibody) at dilution 1/20. (Original magnification: ×200) |
![]() |
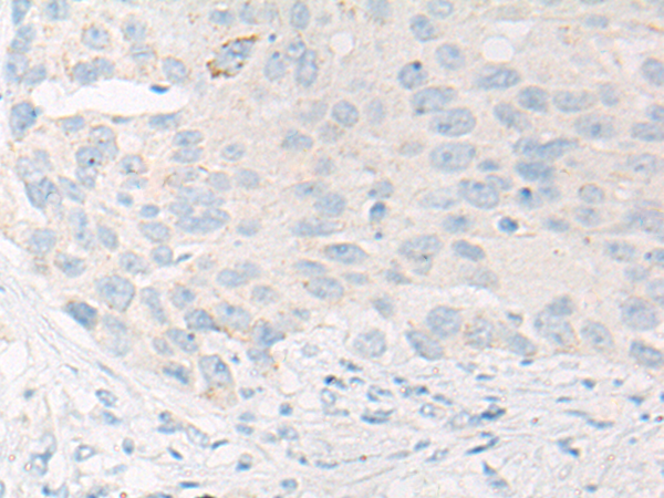
The image is immunohistochemistry of paraffin-embedded Human esophagus cancer tissue using P13213(CCP110 Antibody) at dilution 1/20. (Original magnification: ×200) |
本公司的所有产品仅用于科学研究或者工业应用等非医疗目的,不可用于人类或动物的临床诊断或治疗,非药用,非食用。
暂无评论
本公司的所有产品仅用于科学研究或者工业应用等非医疗目的,不可用于人类或动物的临床诊断或治疗,非药用,非食用。
中文


发表回复