别名:GPR2应用:IHC
反应种属:Human, Mouse
规格:50μl/100μl
| Description |
|---|
| Chemokines are a group of small (approximately 8 to 14 kD), mostly basic, structurally related molecules that regulate cell trafficking of various types of leukocytes through interactions with a subset of 7-transmembrane, G protein-coupled receptors. Chemokines also play fundamental roles in the development, homeostasis, and function of the immune system, and they have effects on cells of the central nervous system as well as on endothelial cells involved in angiogenesis or angiostasis. Chemokines are divided into 2 major subfamilies, CXC and CC, based on the arrangement of the first 2 of the 4 conserved cysteine residues; the 2 cysteines are separated by a single amino acid in CXC chemokines and are adjacent in CC chemokines. CCR10 is the receptor for CCL27 (SCYA27; MIM 604833); CCR10-CCL27 interactions are involved in T cell-mediated skin inflammation (Homey et al., 2002 [PubMed 11821900]). |
| Specification | |
|---|---|
| Aliases | GPR2 |
| Swissprot | P46092 |
| Host/Isotype | Rabbit IgG |
| Storage | Store at 4°C short term. Aliquot and store at -20°C long term. Avoid freeze/thaw cycles. |
| Species Reactivity | Human, Mouse |
| Immunogen | Synthetic peptide of human CCR10 |
| Formulation | pH7.4 PBS, 0.05% NaN3, 40% Glycerol |
| Application | |
|---|---|
| IHC | 1/20-1/100 |
| ELISA | 1/2000-1/5000 |
![]() |
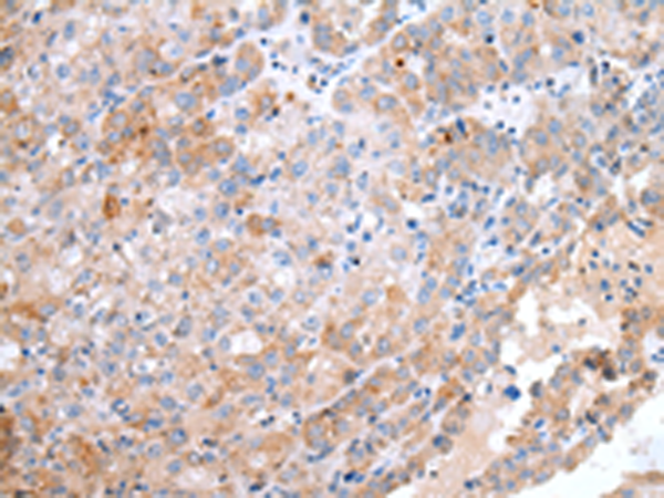
The image is immunohistochemistry of paraffin-embedded Human prostate cancer tissue using P05633(CCR10 Antibody) at dilution 1/25. (Original magnification: ×200) |
![]() |
The image is immunohistochemistry of paraffin-embedded Human ovarian cancer tissue using P05633(CCR10 Antibody) at dilution 1/25. (Original magnification: ×200) |
本公司的所有产品仅用于科学研究或者工业应用等非医疗目的,不可用于人类或动物的临床诊断或治疗,非药用,非食用。
暂无评论
本公司的所有产品仅用于科学研究或者工业应用等非医疗目的,不可用于人类或动物的临床诊断或治疗,非药用,非食用。
中文


发表回复