别名:BN-1; DCR2; DRY6; CCR-6; CD196; CKRL3; GPR29; CKR-L3; CMKBR6; GPRCY4; STRL22; CC-CKR-6; C-C CKR-6应用:WB,IHC
反应种属:Human
规格:50μl/100μl
| Description |
|---|
| This gene encodes a member of the beta chemokine receptor family, which is predicted to be a seven transmembrane protein similar to G protein-coupled receptors. The gene is preferentially expressed by immature dendritic cells and memory T cells. The ligand of this receptor is macrophage inflammatory protein 3 alpha (MIP-3 alpha). This receptor has been shown to be important for B-lineage maturation and antigen-driven B-cell differentiation, and it may regulate the migration and recruitment of dentritic and T cells during inflammatory and immunological responses. Alternatively spliced transcript variants that encode the same protein have been described for this gene. |
| Specification | |
|---|---|
| Aliases | BN-1; DCR2; DRY6; CCR-6; CD196; CKRL3; GPR29; CKR-L3; CMKBR6; GPRCY4; STRL22; CC-CKR-6; C-C CKR-6 |
| Swissprot | P51684 |
| WB Predicted band size | 42 kDa |
| Host/Isotype | Rabbit IgG |
| Storage | Store at 4°C short term. Aliquot and store at -20°C long term. Avoid freeze/thaw cycles. |
| Species Reactivity | Human |
| Immunogen | Synthetic peptide of human CCR6 |
| Formulation | pH7.4 PBS, 0.05% NaN3, 40% Glycerol |
| Application | |
|---|---|
| WB | 1/200-1/1000 |
| IHC | 1/20-1/100 |
| ELISA | 1/5000-1/10000 |
![]() |
Gel: 8%SDS-PAGE, Lysate: 40 μg, Lane 1-4: Human bladder transitional cell carcinoma grade 2-3 tissue, HepG2 cell, HT-29 cell, 231 cell lysates, Primary antibody: P04745(CCR6 Antibody) at dilution 1/300, Secondary antibody: Goat anti rabbit IgG at 1/8000 dilution, Exposure time: 30 seconds |
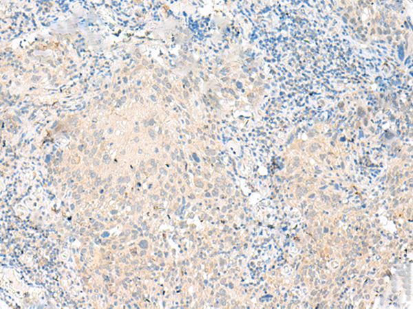
![]() |
The image is immunohistochemistry of paraffin-embedded Human cervical cancer tissue using P04745(CCR6 Antibody) at dilution 1/30. (Original magnification: ×200) |
本公司的所有产品仅用于科学研究或者工业应用等非医疗目的,不可用于人类或动物的临床诊断或治疗,非药用,非食用。
暂无评论
本公司的所有产品仅用于科学研究或者工业应用等非医疗目的,不可用于人类或动物的临床诊断或治疗,非药用,非食用。
中文


发表回复