别名:T-complex protein 1 subunit gamma, TCP-1-gamma, CCT-gamma, hTRiC5, CCT3, CCTG, TRIC5应用:WB,IHC,FCM
反应种属:Human
规格:50μl/100μl
| Description |
|---|
| CCT3 is a molecular chaperone that is member of the chaperonin containing TCP1 complex (CCT), also known as the TCP1 ring complex (TRiC). This complex consists of two identical stacked rings, each containing eight different proteins. Unfolded polypeptides enter the central cavity of the complex and are folded in an ATP-dependent manner. The complex folds various proteins, including actin and tubulin. |
| Specification | |
|---|---|
| Aliases | T-complex protein 1 subunit gamma, TCP-1-gamma, CCT-gamma, hTRiC5, CCT3, CCTG, TRIC5 |
| Entrez GeneID | 7203 |
| Swissprot | P49368 |
| WB Predicted band size | 60.5kDa |
| Host/Isotype | Rabbit IgG |
| Storage | Store at 4°C short term. Aliquot and store at -20°C long term. Avoid freeze/thaw cycles. |
| Species Reactivity | Human |
| Immunogen | This CCT3 antibody is generated from rabbits immunized with a KLH conjugated synthetic peptide between 298-326 amino acids from the Central region of human CCT3. |
| Formulation | Purified polyclonal antibody supplied in PBS with 0.05% sodium azide. This antibody is prepared by Saturated Ammonium Sulfate (SAS) precipitation followed by dialysis against PBS. |
| Application | |
|---|---|
| WB | 1/1000 |
| IHC | 1/100-1/500 |
| FCM | 1/10-1/50 |
![]() |
Western blot analysis of CCT3 Antibody (Center) (Cat. #P30393) in MCF7,CEM,K562,HL-60,Hela cell line lysates (35ug/lane).CCT3 (arrow) was detected using the purified Pab. |
![]() |
Western blot analysis of CCT3 (arrow) using rabbit polyclonal CCT3 Antibody (Center) (Cat. #P30393). 293 cell lysates (2 ug/lane) either nontransfected (Lane 1) or transiently transfected with the CCT3 gene (Lane 2) . |
![]() |
Flow cytometric analysis of K562 cells using CCT3 Antibody (Center)(bottom histogram) compared to a negative control cell (top histogram)FITC-conjugated goat-anti-rabbit secondary antibodies were used for the analysis. |
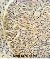
![]() |
Formalin-fixed and paraffin-embedded human lung carcinoma reacted with CCT3 Antibody (Center), which was peroxidase-conjugated to the secondary antibody, followed by DAB staining. This data demonstrates the use of this antibody for immunohistochemistry; clinical relevance has not been evaluated. |
本公司的所有产品仅用于科学研究或者工业应用等非医疗目的,不可用于人类或动物的临床诊断或治疗,非药用,非食用。
暂无评论
本公司的所有产品仅用于科学研究或者工业应用等非医疗目的,不可用于人类或动物的临床诊断或治疗,非药用,非食用。
中文




发表回复