别名:KLRC1; NKG2A; NKG2-A/NKG2-B type II integral membrane protein; CD159 antigen-like family member A; NK cell receptor A; NKG2-A/B-activating NK receptor; CD159a; KLRC2; NKG2C; NKG2-C type II integral membrane protein; CD159 antigen-like family member C; NK cell receptor C; NKG2-C-activating NK receptor; CD159c; KLRC3; NKG2E; NKG2-E type II integral membrane protein; NK cell receptor E; NKG2-E-activating NK receptor应用:WB,IHC
反应种属:Human
规格:50μl/100μl
| Description |
|---|
| Immune inhibitory receptor involved in self-nonself discrimination. |
| Specification | |
|---|---|
| Aliases | KLRC1; NKG2A; NKG2-A/NKG2-B type II integral membrane protein; CD159 antigen-like family member A; NK cell receptor A; NKG2-A/B-activating NK receptor; CD159a; KLRC2; NKG2C; NKG2-C type II integral membrane protein; CD159 antigen-like family member C; NK cell receptor C; NKG2-C-activating NK receptor; CD159c; KLRC3; NKG2E; NKG2-E type II integral membrane protein; NK cell receptor E; NKG2-E-activating NK receptor |
| Entrez GeneID | 3821 |
| Swissprot | P26715 |
| WB Predicted band size | Calculated MW: 26 kDa; Observed MW: 26 kDa |
| Host/Isotype | Rabbit IgG |
| Storage | Store at 4°C short term. Aliquot and store at -20°C long term. Avoid freeze/thaw cycles. |
| Species Reactivity | Human |
| Immunogen | The antiserum was produced against synthesized peptide derived from the Internal region of human KLRC1/2/3. AA range:101-150 |
| Formulation | Liquid in PBS containing 50% glycerol, 0.5% BSA and 0.02% sodium azide, pH 7.3. |
| Application | |
|---|---|
| WB | 1/500-1/1000 |
| IHC | 1/50-1/100 |
| ELISA | 1/10000 |
![]() |
Western blot analysis of CD159a/c in L929 lysates using CD159a/c antibody. |
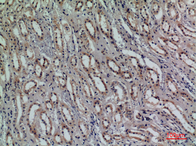
![]() |
Immunohistochemistry analysis of paraffin-embedded Human kidney using CD159a/c antibody.High-pressure and temperature Sodium Citrate pH 6.0 was used for antigen retrieval. |
本公司的所有产品仅用于科学研究或者工业应用等非医疗目的,不可用于人类或动物的临床诊断或治疗,非药用,非食用。
暂无评论
本公司的所有产品仅用于科学研究或者工业应用等非医疗目的,不可用于人类或动物的临床诊断或治疗,非药用,非食用。
中文


发表回复