别名:T-cell surface antigen T6/Leu-6; hTa1 thymocyte antigen; CD antigen CD1a; CD antigen CD1b应用:IHC
反应种属:Human
规格:50μl/100μl
| Description |
|---|
| Antigen-presenting protein that binds self and non-self lipid and glycolipid antigens and presents them to T-cell receptors on natural killer T-cells. |
| Specification | |
|---|---|
| Aliases | T-cell surface antigen T6/Leu-6; hTa1 thymocyte antigen; CD antigen CD1a; CD antigen CD1b |
| Entrez GeneID | 909/910 |
| Swissprot | P06126/P29016 |
| Host/Isotype | Rabbit IgG |
| Storage | Store at 4°C short term. Aliquot and store at -20°C long term. Avoid freeze/thaw cycles. |
| Species Reactivity | Human |
| Immunogen | Synthetic peptide from human protein at AA range: 220-270 |
| Formulation | Liquid in PBS containing 50% glycerol, 0.5% BSA and 0.02% sodium azide, pH 7.3. |
| Application | |
|---|---|
| IHC | 1/50-1/100 |
| ELISA | 1/10000 |
![]() |
Immunohistochemical analysis of paraffin-embedded Human tonsils using CD1a/b antibody.High-pressure and temperature Sodium Citrate pH 6.0 was used for antigen retrieval. |
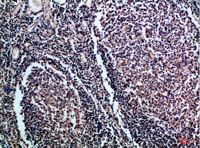
![]() |
Immunohistochemistry analysis of paraffin-embedded Human tonsil using CD1a/b antibody.High-pressure and temperature Sodium Citrate pH 6.0 was used for antigen retrieval. |
本公司的所有产品仅用于科学研究或者工业应用等非医疗目的,不可用于人类或动物的临床诊断或治疗,非药用,非食用。
暂无评论
本公司的所有产品仅用于科学研究或者工业应用等非医疗目的,不可用于人类或动物的临床诊断或治疗,非药用,非食用。
中文


发表回复