别名:CD1E; T-cell surface glycoprotein CD1e; membrane-associated; hCD1e; R2G1; CD1e应用:WB,IHC
反应种属:Human
规格:50μl/100μl
| Description |
|---|
| T-cell surface glycoprotein CD1e, soluble binds diacetylated lipids, including phosphatidyl inositides and diacylated sulfoglycolipids, and is required for the presentation of glycolipid antigens on the cell surface. |
| Specification | |
|---|---|
| Aliases | CD1E; T-cell surface glycoprotein CD1e; membrane-associated; hCD1e; R2G1; CD1e |
| Entrez GeneID | 913 |
| Swissprot | P15812 |
| WB Predicted band size | Calculated MW: 44 kDa; Observed MW: 44 kDa |
| Host/Isotype | Rabbit IgG |
| Storage | Store at 4°C short term. Aliquot and store at -20°C long term. Avoid freeze/thaw cycles. |
| Species Reactivity | Human |
| Immunogen | The antiserum was produced against synthesized peptide derived from the C-terminal region of human CD1E. AA range:321-370 |
| Formulation | Liquid in PBS containing 50% glycerol, 0.5% BSA and 0.02% sodium azide, pH 7.3. |
| Application | |
|---|---|
| WB | 1/500-1/1000 |
| IHC | 1/50-1/100 |
| ELISA | 1/10000 |
![]() |
Western blot analysis of CD1E in K562 lysates using CD1E antibody. |
![]() |
Immunohistochemistry analysis of paraffin-embedded Human pancreas using CD1E antibody.High-pressure and temperature Sodium Citrate pH 6.0 was used for antigen retrieval. |
![]() |
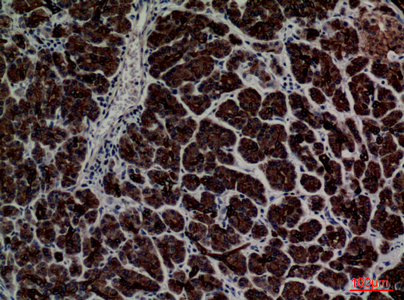
Immunohistochemistry analysis of paraffin-embedded Human pancreas using CD1E antibody. High-pressure and temperature Sodium Citrate pH 6.0 was used for antigen retrieval. |
![]() |
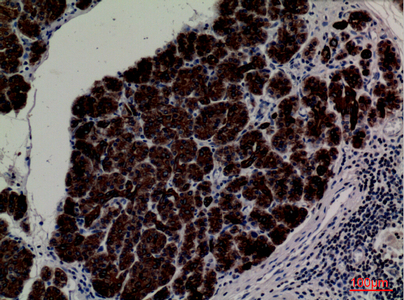
Immunohistochemistry analysis of paraffin-embedded Human pancreas using CD1E antibody.High-pressure and temperature Sodium Citrate pH 6.0 was used for antigen retrieval. |
本公司的所有产品仅用于科学研究或者工业应用等非医疗目的,不可用于人类或动物的临床诊断或治疗,非药用,非食用。
暂无评论
本公司的所有产品仅用于科学研究或者工业应用等非医疗目的,不可用于人类或动物的临床诊断或治疗,非药用,非食用。
中文




发表回复