别名:Endothelial protein C receptor, Activated protein C receptor, APC receptor, Endothelial cell protein C receptor, CD201, PROCR, EPCR应用:WB,IHC,FCM
反应种属:Human
规格:50μl/100μl
| Description |
|---|
| PROCR (CD201) is a receptor for activated protein C, a serine protease activated by and involved in the blood coagulation pathway. The protein is an N-glycosylated type I membrane protein that enhances the activation of protein C. Mutations in its gene have been associated with venous thromboembolism and myocardial infarction, as well as with late fetal loss during pregnancy. |
| Specification | |
|---|---|
| Aliases | Endothelial protein C receptor, Activated protein C receptor, APC receptor, Endothelial cell protein C receptor, CD201, PROCR, EPCR |
| Entrez GeneID | 10544 |
| Swissprot | Q9UNN8 |
| WB Predicted band size | 26.7kDa |
| Host/Isotype | Rabbit IgG |
| Storage | Store at 4°C short term. Aliquot and store at -20°C long term. Avoid freeze/thaw cycles. |
| Species Reactivity | Human |
| Immunogen | This CD201 antibody is generated from rabbits immunized with a KLH conjugated synthetic peptide between 104-132 amino acids from the Central region of human CD201. |
| Formulation | Purified polyclonal antibody supplied in PBS with 0.05% sodium azide. This antibody is prepared by Saturated Ammonium Sulfate (SAS) precipitation followed by dialysis against PBS. |
| Application | |
|---|---|
| WB | 1/1000 |
| IHC | 1/100-1/500 |
| FCM | 1/10-1/50 |
![]() |
Western blot analysis of CD201 antibody (Center) (Cat. #P30391) in T47D cell line lysates (35ug/lane). CD201 (arrow) was detected using the purified Pab. |
![]() |
Flow cytometric analysis of NCI-H292 cells using CD201 Antibody (Center)(bottom histogram) compared to a negative control cell (top histogram). FITC-conjugated goat-anti-rabbit secondary antibodies were used for the analysis. |
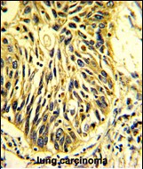
![]() |
Formalin-fixed and paraffin-embedded human lung carcinoma with CD201 Antibody (Center), which was peroxidase-conjugated to the secondary antibody, followed by DAB staining. This data demonstrates the use of this antibody for immunohistochemistry; clinical relevance has not been evaluated. |
本公司的所有产品仅用于科学研究或者工业应用等非医疗目的,不可用于人类或动物的临床诊断或治疗,非药用,非食用。
暂无评论
本公司的所有产品仅用于科学研究或者工业应用等非医疗目的,不可用于人类或动物的临床诊断或治疗,非药用,非食用。
中文



发表回复