别名:CD2 antigen cytoplasmic tail-binding protein 2, CD2 cytoplasmic domain-binding protein 2, CD2 tail-binding protein 2, U5 snRNP 52K protein, U5-52K, CD2BP2, KIAA1178应用:WB,IHC,FCM
反应种属:Human
规格:50μl/100μl
| Description |
|---|
| This gene encodes a bi-functional protein. In the cytoplasm, the encoded protein binds the cytoplasmic tail of human surface antigen CD2 via its C-terminal GYF domain, and regulate CD2-triggered T lymphocyte activation. In the nucleus, this protein is a component of the U5 small nuclear ribonucleoprotein complex and is involved in RNA splicing. A pseudogene has been identified on chromosome 7. Alternative splicing results in multiple transcript variants but their biological validity has not been determined. |
| Specification | |
|---|---|
| Aliases | CD2 antigen cytoplasmic tail-binding protein 2, CD2 cytoplasmic domain-binding protein 2, CD2 tail-binding protein 2, U5 snRNP 52K protein, U5-52K, CD2BP2, KIAA1178 |
| Entrez GeneID | 10421 |
| Swissprot | O95400 |
| WB Predicted band size | 37.6kDa |
| Host/Isotype | Rabbit IgG |
| Storage | Store at 4°C short term. Aliquot and store at -20°C long term. Avoid freeze/thaw cycles. |
| Species Reactivity | Human |
| Immunogen | This CD2BP2 antibody is generated from rabbits immunized with a KLH conjugated synthetic peptide between 24-52 amino acids from the N-terminal region of human CD2BP2. |
| Formulation | Purified polyclonal antibody supplied in PBS with 0.05% sodium azide. This antibody is purified through a protein A column, followed by peptide affinity purification. |
| Application | |
|---|---|
| WB | 1/1000 |
| IHC | 1/100-1/500 |
| FCM | 1/10-1/50 |
![]() |
CD2BP2 Antibody (N-term) (Cat. #P30879) western blot analysis in NCI-H460 cell line lysates (35ug/lane).This demonstrates the CD2BP2 antibody detected the CD2BP2 protein (arrow). |
![]() |
CD2BP2 Antibody (N-term) (Cat. #P30879) flow cytometric analysis of NCI-H460 cells (right histogram) compared to a negative control cell (left histogram).FITC-conjugated goat-anti-rabbit secondary antibodies were used for the analysis. |
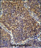
![]() |
CD2BP2 antibody(N-term) (Cat. #P30879) immunohistochemistry analysis in formalin fixed and paraffin embedded human lung carcinoma followed by peroxidase conjugation of the secondary antibody and DAB staining. This data demonstrates the use of the CD2BP2 antibody(N-term) for immunohistochemistry. Clinical relevance has not been evaluated. |
本公司的所有产品仅用于科学研究或者工业应用等非医疗目的,不可用于人类或动物的临床诊断或治疗,非药用,非食用。
暂无评论
本公司的所有产品仅用于科学研究或者工业应用等非医疗目的,不可用于人类或动物的临床诊断或治疗,非药用,非食用。
中文



发表回复