别名:CD300LG; CLM9; TREM4; CMRF35-like molecule 9; CLM-9; CD300 antigen-like family member G; Triggering receptor expressed on myeloid cells 4; TREM-4; CD300g应用:WB,IHC
反应种属:Human
规格:50μl/100μl
| Description |
|---|
| Receptor which may mediate L-selectin-dependent lymphocyte rollings. |
| Specification | |
|---|---|
| Aliases | CD300LG; CLM9; TREM4; CMRF35-like molecule 9; CLM-9; CD300 antigen-like family member G; Triggering receptor expressed on myeloid cells 4; TREM-4; CD300g |
| Entrez GeneID | 146894 |
| Swissprot | Q6UXG3 |
| WB Predicted band size | Calculated MW: 36 kDa; Observed MW: 36 kDa |
| Host/Isotype | Rabbit IgG |
| Storage | Store at 4°C short term. Aliquot and store at -20°C long term. Avoid freeze/thaw cycles. |
| Species Reactivity | Human |
| Immunogen | The antiserum was produced against synthesized peptide derived from the Internal region of human CD300LG. AA range:41-90 |
| Formulation | Liquid in PBS containing 50% glycerol, 0.5% BSA and 0.02% sodium azide, pH 7.3. |
| Application | |
|---|---|
| WB | 1/500-1/1000 |
| IHC | 1/50-1/100 |
| ELISA | 1/10000 |
![]() |
Western blot analysis of CD300LG in L929 lysates using CD300LG antibody. |
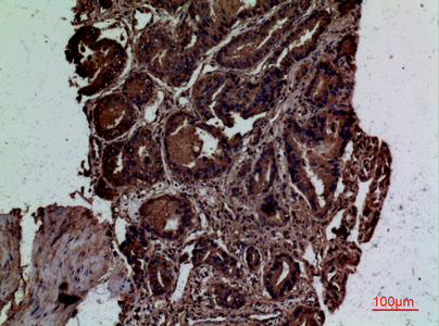
![]() |
Immunohistochemistry analysis of paraffin-embedded Human prostatecancer using CD300LG antibody.High-pressure and temperature Sodium Citrate pH 6.0 was used for antigen retrieval. |
本公司的所有产品仅用于科学研究或者工业应用等非医疗目的,不可用于人类或动物的临床诊断或治疗,非药用,非食用。
暂无评论
本公司的所有产品仅用于科学研究或者工业应用等非医疗目的,不可用于人类或动物的临床诊断或治疗,非药用,非食用。
中文


发表回复