别名:Platelet endothelial cell adhesion molecule; PECAM-1; EndoCAM; GPIIA’; PECA1; CD antigen CD31应用:WB,IHC,ICC
反应种属:Human,Mouse
规格:50μl/100μl
| Description |
|---|
| PECAM-1 a cell adhesion molecule expressed on platelets and at endothelial cell intercellular junctions. Plays a role in modulation of integrin-mediated cell adhesion, transendothelial migration, angiogenesis, apoptosis, cell migration, negative regulation of immune cell signaling, autoimmunity, macrophage phagocytosis, IgE-mediated anaphylaxis and thrombosis. Undergoes alternative splicing, generating multiple isoforms in vascular beds of various tissues. |
| Specification | |
|---|---|
| Aliases | Platelet endothelial cell adhesion molecule; PECAM-1; EndoCAM; GPIIA’; PECA1; CD antigen CD31 |
| Entrez GeneID | 5175 |
| Swissprot | P16284 |
| WB Predicted band size | Calculated MW: 83 kDa; Observed MW: 83 kDa |
| Host/Isotype | Rabbit IgG |
| Storage | Store at 4°C short term. Aliquot and store at -20°C long term. Avoid freeze/thaw cycles. |
| Species Reactivity | Human,Mouse |
| Immunogen | synthesized peptide of human PECAM-1. AA range:686-735 |
| Formulation | Liquid in PBS containing 50% glycerol, 0.5% BSA and 0.02% sodium azide, pH 7.3. |
| Application | |
|---|---|
| WB | 1/500-1/1000 |
| IHC | 1/50-1/100 |
| ICC | 1/50-1/200 |
| ELISA | 1/10000 |
![]() |
Western blot analysis of CD31 in HepG2, K562, L929, mouse brain lysates using CD31 antibody. |
![]() |
Immunofluorescence analysis of CD31 in HeLa using CD31 antibody. The picture on the right is blocked using synthesized peptide. |
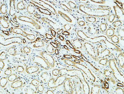
![]() |
Immunohistochemistry analysis of paraffin-embedded CD31 in paraffin-embedded Human kidney using CD31 antibody. High-pressure and temperature Sodium Citrate pH 6.0 was used for antigen retrieval. |
本公司的所有产品仅用于科学研究或者工业应用等非医疗目的,不可用于人类或动物的临床诊断或治疗,非药用,非食用。
暂无评论
本公司的所有产品仅用于科学研究或者工业应用等非医疗目的,不可用于人类或动物的临床诊断或治疗,非药用,非食用。
中文



发表回复